Continuous and bimonthly publication
ISSN (on-line): 1806-3756

Licença Creative Commons

Doença pulmonar obstrutiva crônica ocupacional

2006 - Vol.32 - Supplement 2

INTRODUÇÃO

Apesar da evidência inconteste da ação deletéria dos agentes inalados sobre o aparelho respiratório, especialmente na gênese das doenças pulmonares obstrutivas crônicas, os aerodispersóides, gerados nas mais diversas atividades produtivas, ainda são pouco reconhecidos como fatores etiológicos da doença pulmonar obstrutiva crônica (DPOC) ocupacional.
A elaboração deste capítulo visa a alertar os médicos em geral, e especialmente os pneumologistas, sobre a possível etiologia ocupacional da DPOC. A história ocupacional, mesmo com um mínimo de detalhes, ainda não é prática habitual na elaboração da anamnese, o que compromete a formulação da hipótese diagnóstica. Muitos estudos evidenciam a interação entre a exposição aos agentes inalados, ambiental e ocupacionalmente, e as doenças respiratórias.

Desde meados do século passado, com a denominação de bronquite industrial, essa enfermidade vem sendo discutida e ainda gera controvérsias quanto a sua relação causal.

O Medical Research Council - MRC, do Reino Unido, em 1961, foi solicitado a compor um comitê para avaliar a possível influência da bronquite, nos trabalhadores ingleses, como responsável pelas faltas ao trabalho.(1) No mesmo período, alguns autores(2-3) relataram dados de prevalência da bronquite crônica nos EUA analisando, também, sua associação com a exposição ocupacional e disfunção ventilatória, com base em dados de questionário específico, do radiograma do tórax e da espirometria.

Numerosos estudos posteriores demonstraram que a contínua exposição aos aerodispersóides nos ambientes de trabalho se associava aos sintomas de tosse com expectoração, sendo que uma definitiva correlação entre a prevalência desses sintomas e o nível dessas exposições foi evidenciado entre mineiros do carvão e do ouro.(4-6) Outros estudos(7-8) destacaram a importância da associação entre a limitação crônica ao fluxo aéreo e a exposição prolongada a poeiras minerais. Em análise sobre estudos epidemiológicos de base populacional, de avaliação longitudinal da função pulmonar, de histopatologia com interesse na quantificação do enfisema e em estudos de mortalidade, procurou-se destacar a evidente relação causal entre a DPOC e as atividades, independentemente do tabagismo. Um outro estudo de base populacional que avaliou a eventual correlação entre os sintomas de doenças respiratórias crônicas e a exposição a gases, poeiras e fumos revelou que essas exposições podem estar associadas com o aumento da prevalência da DPOC.(9)

Nessa mesma linha de investigação, um estudo de base populacional realizado na Noruega evidenciou um aumento da prevalência de asma e DPOC relacionado aos níveis e tipos distintos de exposição. Mediante respostas a um questionário, verificou-se que 3% dessa população, entre 18 e 73 anos de idade, estavam expostos a elevados níveis de aerodispersóides. A DPOC teve maior grau de associação com o grupo que estava havia mais tempo em uma das ocupações listadas.
Houve uma prevalência total de 5,4% de DPOC e não foi observada interação entre a exposição e o consumo tabágico. Dentre os aerodispersóides pesquisados, a limitação ao fluxo aéreo (asma e DPOC) esteve associada à poeira de quartzo, gases de metal e produção e processamento de alumínio. A exposição ao asbesto e ao quartzo foi significativamente associada à limitação do fluxo aéreo, com uma razão de probabilidade de 2,8.(10)

Mais recentemente, vários estudos demonstraram, de forma inequívoca, a relação causal entre distintas atividades laborais e a DPOC. Uma revisão sistemática dessa evidência, através da análise retrospectiva de vários estudos relacionados com o tema, realizados entre 1966 e 1991, revelou a existência de importante perda da função pulmonar independentemente do consumo tabágico.(11)

Um estudo ainda mais recente, com abordagem internacional, multicêntrica, avaliou 13.253 homens, de catorze países, com idades entre 20 e 44 anos, buscando analisar a associação entre ocupações e respectivas exposições, sintomas de bronquite, volume expiratório forçado no primeiro segundo (VEF1) e a responsividade brônquica inespecífica. A bronquite crônica foi observada em 1% a 3% entre os não fumantes e ex-fumantes.
Houve uma nítida associação entre sintomas de tosse e produção de catarro e a exposição a vapores, gases, poeiras ou fumos. Nos indivíduos expostos a estes fatores, o VEF1 tendeu a ser mais baixo do que nos indivíduos que trabalhavam em escritórios. Destaca-se, neste estudo, que a população avaliada foi de adultos jovens.(12)

A associação entre a DPOC, ramo de atividade e ocupação ou função específica está bem demonstrada em um estudo de base populacional envolvendo 11.447 indivíduos, entre 30 e 75 anos.
Neste estudo, a razão de chance para DPOC ajustada para idade, consumo tabágico, índice de massa corpórea e condições socioeconômicas revelou-se elevada nas indústrias de borracha, plásticos, couro, têxtil, moagem de grãos e de produtos alimentícios. O percentual de DPOC atribuída ao trabalho foi estimado em 19,2% no geral e em 31,1% entre os não fumantes.(13)

Destaca-se, ainda, a importância da análise de custos socioeconômicos decorrentes dessas enfermidades, fundamentais na elaboração de políticas públicas de saúde, juntamente com os dados epidemiológicos de morbimortalidade.
Numa recente avaliação sobre esse assunto, que utilizou dados do Centro Nacional de Estatística dos EUA, para o ano de 1996, estimou-se o custo da asma e DPOC ocupacionais em US$ 6,6 bilhões (US$ 1,6 bilhões para asma e US$ 5 bilhões para a DPOC).(14)

DEFINIÇÃO

A DPOC é uma enfermidade respiratória com manifestações sistêmicas, que se caracteriza por obstrução crônica ao fluxo aéreo que não é totalmente reversível, estando associada a uma resposta inflamatória anormal à inalação de fumaça de cigarro e outras partículas e gases tóxicos.(15-17) O processo inflamatório crônico pode produzir alterações dos brônquios (bronquite crônica), bronquíolos (bronquiolite obstrutiva) e parênquima pulmonar (enfisema pulmonar), A predominância destas alterações é variável em cada indivíduo, e tem relação com os sintomas apresentados.

A DPOC é suspeitada na presença de sintomas respiratórios crônicos, associados à história de exposição ao cigarro, a fumaça ou a poeira ocupacional, sendo a confirmação diagnóstica obtida pela demonstração espirométrica de obstrução do fluxo aéreo.

A existência de obstrução ao fluxo aéreo é definida pela presença da relação entre o VEF1 e a capacidade vital forçada (CVF) abaixo de 70%, com valores obtidos em período estável de doença e após o uso de broncodilatador inalatório de ação curta.

EPIDEMIOLOGIA

Não se conhece a real prevalência da DPOC em nosso meio. Ela depende dos critérios diagnósticos utilizados no levantamento dos dados e dos valores espirométricos usados para definir a doença. Dados coletados por questionários clínicos de sintomas apresentam valores superiores aos de questionários sobre diagnóstico médico, e sobre inquéritos que incluam a espirometria.(18) Assim, valores descritos podem ser diferentes para uma mesma população. Os dados de prevalência para o Brasil, obtidos até o momento, são advindos de questionário de sintomas, que permitem estimar a ocorrência da DPOC em adultos maiores de 40 anos, e são da ordem de 12% da população, ou seja, 5.500.000 indivíduos. Se considerarmos os dados preliminares do estudo PLATINO realizado pela Associação Latinoamericana de Tórax, na cidade de São Paulo (SP), a prevalência da DPOC varia entre 6% e 16% da população com idade igual ou superior a 40 anos (entre 2.800.000 e 6.900.000 indivíduos). Prevalência menor é encontrada quando se utiliza a relação VEF1/CVF inferior a 70% e o VEF1 inferior a 80% como critérios diagnósticos. Prevalência maior é encontrada quando se utiliza somente a relação VEF1/CVF inferior a 70% como critério diagnóstico, independentemente do valor do VEF1.(19)

Estes números estão de acordo com os encontrados na Espanha,(16) onde a prevalência de tabagismo é próxima à do Brasil, mostrando que 9% da população, com idade igual ou superior a 40 anos, apresenta DPOC espirometricamente documentada, o que no Brasil corresponderia ao número de 4.150.000 indivíduos.

Morbidade
A incidência da DPOC é maior em homens do que em mulheres e aumenta acentuadamente com a idade. As diferenças em relação ao sexo podem ser devidas à maior prevalência do tabagismo e exposição ocupacional entre os homens. Com o aumento do tabagismo entre as mulheres, estes dados podem vir a modificar-se num futuro próximo. No entanto, há que se considerar a maior exposição das mulheres à fumaça produzida pela combustão da lenha, utilizada ainda em muitas cozinhas da zona rural. De acordo com estatísticas britânicas, as doenças respiratórias figuram como a terceira causa de perda de dias de trabalho, sendo a DPOC responsável por 56% das faltas ao trabalho entre os homens e 24% entre as mulheres.(15) A DPOC foi a quinta maior causa de internação no sistema público de saúde do Brasil, nos maiores de 40 anos, em 2003, com 196.698 internações e gasto aproximado de 72 milhões de reais, o que a coloca entre as principais doenças consumidoras de recursos econômicos.(19)

Mortalidade
No Brasil, houve um aumento pronunciado do número de óbitos por DPOC nos últimos vinte anos, em ambos os sexos: a taxa de mortalidade passou de 7,88/100.000 habitantes na década de 1980, para 19,04/100.000 habitantes na década de 1990. Logo, o crescimento de óbitos por DPOC de 1980 a 2001 foi de 340%, estando a DPOC entre as principais causas de morte no país.(19)

Fatores de risco para a DPOC
O desenvolvimento da DPOC depende de diversos fatores. A interrelação entre os elementos externos e a resposta individual desencadearia a resposta inflamatória que conduz às alterações patológicas responsáveis pelo quadro clínico e evolução da doença.

Fatores externos
A inalação de partículas e gases tóxicos produz uma resposta inflamatória nos pulmões, sendo esta resposta proporcional ao total da inalação ocorrida. A inalação de fumaça do cigarro, exposições ocupacionais, fumaça de lenha e gases irritantes são os mais conhecidos agentes produtores de DPOC.

O uso do cigarro é o mais conhecido e freqüente fator de risco para a DPOC, sendo o seu uso crônico associado à queda acentuada da função pulmonar. O uso de charutos ou cachimbos também apresenta relação com o declínio do VEF1, em menor intensidade. A porcentagem de fumantes que desenvolvem a DPOC situa-se entre 15%e 20%.

A exposição passiva à fumaça do cigarro pode contribuir para a presença de sintomas respiratórios e para o acúmulo de partículas inaladas. Quanto ao tabagismo na gravidez, a possibilidade de baixo peso ao nascer pode afetar o desenvolvimento do pulmão fetal e vir a ser fator de risco para DPOC. As exposições ocupacionais por período de tempo prolongado e em grande intensidade podem provocar DPOC, mesmo na ausência do tabagismo.

A inalação de fumaça de lenha é descrita como fator de risco em populações que utilizam lenha para aquecimento ou para cozinhar. A presença de infecções respiratórias graves na infância tem sido relacionada a sintomas respiratórios e redução da função pulmonar no adulto. Os sintomas respiratórios são mais encontrados em pacientes de classes econômicas mais baixas, sendo, portanto, o risco de desenvolver DPOC maior nestes indivíduos.

Fatores individuais
Acredita-se que vários fatores genéticos participem do desenvolvimento da DPOC. Alguns estudos têm demonstrado aumento do risco para familiares de pacientes com DPOC.(20) A deficiência de a1-antitripsina, maior componente do sistema antiprotease circulante, pode produzir DPOC grave em pacientes jovens, sendo esta uma condição pouco diagnosticada em nosso meio. Dados sobre sua prevalência são inexistentes no Brasil. Valores abaixo de 32% do valor de normalidade da a1-antitripsina são diagnósticos, devendo então ser realizada a fenotipagem.(21) Outros fatores como deficiência de glutationatransferase e a1-antiquimotripsina são descritos em grupos populacionais específicos.

A possibilidade de que haja um acentuado declínio na função pulmonar nos pacientes com DPOC devido à hiperresponsividade brônquica vem sendo postulada, porém não existem evidências suficientes para se confirmar tal hipótese.(22)

DIAGNÓSTICO

O diagnóstico da DPOC baseia-se prioritariamente em elementos obtidos da história clínica e de exposição a fatores de risco, principalmente o tabagismo, sendo confirmado pela espirometria (Figura1). Dados de inquéritos epidemiológicos com realização de espirometria têm demonstrado que o uso somente de critérios clínicos em pacientes de risco para a DPOC deixa sem diagnóstico um grande número de doentes. A realização de espirometria pré e pós-broncodilatador em pacientes de risco e sintomáticos (principalmente tosse) permite o diagnóstico precoce, com possíveis repercussões prognósticas.(23)






O exame físico no paciente com DPOC não apresenta características específicas. As observações são muito mais qualitativas que quantitativas e complementam um diagnóstico que se baseia muito mais na história e na espirometria do que em dados de exame físico.

A espirometria com obtenção da curva expiratória volume-tempo é obrigatória na suspeita clínica de DPOC, devendo ser realizada antes e após administração de broncodilatador, de preferência em fase estável da doença. A espirometria permite a avaliação de uma multiplicidade de parâmetros, porém os mais importantes do ponto de vista de aplicação clínica são o VEF1 e a relação VEF1/CVF, pois mostram menor variabilidade inter e intra-individual. Como mencionado, a existência de limitação do fluxo aéreo é definida pela presença da relação VEF1/CVF abaixo de 70%, pós-broncodilatador.

A avaliação radiológica do paciente com DPOC não tem a função de diagnóstico, visto que os achados radiológicos, mesmo nas formas mais avançadas da doença, podem ser inespecíficos. Entretanto, a radiografia de tórax, nas incidências póstero-anterior e perfil esquerdo, é útil para afastar condições associadas.

A avaliação da oxigenação pode ser feita, inicialmente, de maneira não invasiva pela oximetria de pulso. Se for identificada uma saturação periférica de oxigênio igual ou inferior a 90%, está indicada, então, a realização de gasometria arterial para avaliação da pressão parcial arterial de oxigênio e da pressão parcial arterial de dióxido de carbono.

As determinações da capacidade pulmonar total, da capacidade residual funcional e do volume residual, bem como da capacidade de difusão, permitem uma melhor caracterização funcional dos pacientes com DPOC, mas não são imprescindíveis.

A dosagem de a1-antitripsina está indicada nos casos de: enfisema pulmonar com início em adulto jovem, com menos de 45 anos, sem fator de risco conhecido; predominância em região basal; doença hepática inexplicada; vasculite com positividade para o anticorpo anticitoplasma de neutrófilo. E história familiar de enfisema, doença hepática, paniculite ou bronquiectasia.

No Brasil a pesquisa do bacilo álcool ácido resistente pode ser importante, porque a tuberculose pulmonar pode cursar com sintomas respiratórios semelhantes: tosse, secreção, dispnéia e perda de peso. Na maioria dos casos de tuberculose, porém, há uma alteração radiológica sugestiva do processo.

Caso ilustrativo
GTS, 52 anos, masculino;
- Soldador há 28 anos;
- Vários tipos de soldas (acetileno, elétrica, metal inert gas, tungstein inert gas, carbono) (Quadro 1);
- Tosse persistente com pouca expectoração, cansaço aos grandes esforços, sem antecedentes de doenças respiratórias, não fumante;
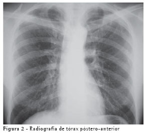
- Radiografia de tórax de 28/04/02 - Normal (Figura 2);
- Tomografia computadorizada de alta resolução de tórax de 30/04/02 - sugestiva de bronquiolite respiratória (Figura 3);
- Função Pulmonar
CVF - 92 %
VEF1 - 57 %
VEF1/CVF - 61%
Capacidade de difusão do monóxido de carbono - 62 %
Capacidade pulmonar total - 125%
Relação entre volume residual e capacidade pulmonar total - 48%. Dessa forma, com os dados da história ocupacional e funcional, sintomas, achados radiológicos e funcionais o diagnóstico de bronquite crônica de origem ocupacionas deve ser considerado.







REFERÊNCIAS

1. Morgan WKC. Industrial bronchitis and other nonspecific conditions affecting the airways. In: Morgan WHC, Seaton A, editors Occupational lung diseases. 2nd ed. Philadelphia: WB Saunders; 1984. p. 521-40.
2. Brinkman GL, Coates EO Jr. The prevalence of chronic bronchitis in an industrial population. Am Rev Respir Dis. 1962;86:47-54.
3. Brinkman GL, Coates EO Jr. The effect of bronchitis, smoking, and occupation on ventilation. Am Rev Respir Dis. 1963;87:684-93.
4. Kibelstis JA, Morgan EJ, Reger R, Lapp NL, Seaton A, Morgan WK. Prevalence of bronchitis and airway obstruction in American bituminous coal miners. Am Rev Respir Dis. 1973;108(4):886-93.
5. Rogan JM, Attfield MD, Jacobsen M, Rae S, Walker DD, Walton WH. Role of dust in the working environment in development of chronic bronchitis in British coal miners. Br J Ind Med. 1973;30(3):217-26.
6. Irwig LM, Rocks P. Lung function and respiratory symptoms in silicotic and nonsilicotic gold miners. Am Rev Respir Dis. 1978;117(3):429-35.
7. Becklake MR. Chronic airflow limitation: its relationship to work in dusty occupations. Chest. 1985;88(4):608-17.
8. Becklake MR. Occupational exposures: evidence for a causal association with chronic obstructive pulmonary disease. Am Rev Respir Dis. 1989;140(3 Pt 2):S85-91.
9. Korn RJ, Dockery DW, Speizer FE, Ware JH, Ferris BG Jr. Occupational exposures and chronic respiratory symptoms. A population-based study. Am Rev Respir Dis. 1987;136(2):298-304.
10. Bakke PS, Baste V, Hanoa R, Gulsvik A. Prevalence of obstructive lung disease in a general population: relation to occupational title and exposure to some airborne agents. Thorax. 1991;46(12):863-70.
11. Oxman AD, Muir DC, Shannon HS, Stock SR, Hnizdo E, Lange HJ. Occupational dust exposure and chronic obstructive pulmonary disease. A systematic overview of the evidence. Am Rev Respir Dis. 1993;148(1):38-48. Comment in: ACP J Club. 1994;120 Suppl 2:53.
12. Zock JP, Sunyer J, Kogevinas M, Kromhout H, Burney P, Anto JM. Occupation, chronic bronchitis, and lung function in young adults. An international study. Am J Respir Crit Care Med. 2001;163(7):1572-7.
13. Hnizdo E, Sullivan PA, Bang KM, Wagner G. Association between chronic obstructive pulmonary disease and employment by industry and occupation in the US population: a study of data from the Third National Health and Nutrition Examination Survey. Am J Epidemiol. 2002;156(8):738-46.
14. Leigh JP, Romano PS, Schenker MB, Kreiss K. Costs of occupational COPD and asthma. Chest. 2002;121(1):264-72.
15. The Global Initiative for Chronic Obstructive Lung Disease (GOLD) [home page on the Internet].[cited 2004 Nov 10]. Available from: http://goldcopd.com/
16. Grupo de Trabajo-Conferencia de Consenso sobre EPOC. [Consensus Conference on Chronic Obstructive Pulmonary Disease. Madrid, Spain, 25-26 November 2002. Proceedings]. Arch Bronconeumol. 2003;39(Suppl 3): 1-47. Spanish
17. O'Donnell DE, Aaron S, Bourbeau J, Hernandez P, Marciniuk D, Balter M, et al. Canadian Thoracic Society. Canadian Thoracic Society recommendations for management of chronic obstructive pulmonary disease--2003. Can Respir J. 2003;10 Suppl A:11A-65A. Comment in: Can Respir J. 2004;11(1):15-6.
18. Menezes AM, Victoria CG, Rigatto M. Prevalence and risk factors for chronic bronchitis in Pelotas-RS, Brazil: a population based study. Thorax; 1994,49(12):1217-21.
19. Menezes AM, Perez-Padilla R, Jardim JR, Muino A, Lopez MV, Valdivia G, et al. Chronic obstructive pulmonary disease in five Latin American cities (the Platino study): a prevalence study. Lancet. 2005;366(9500):1875-81.
20. Joos L, Pare PD, Sandford AJ. Genetic risk factors of chronic obstructive pulmonary disease. Swiss Med Wkly. 2002;132(3-4):27-37.
21. American Thoracic Society/European Respiratory Society Statement: Standards for the diagnosis and management of individuals with Alpha-1 Antitrypsin Deficiency. Am J Respir Crit Care Med. 2003;168(7):818-900.
22. Postma DS, Kerstjens HAM. Characteristics of airway hyperresponsiveness in asthma and chronic obstructive pulmonary disease. Am J Respir Crit Care Med. 1998;158(5 Pt 3):S187-92.
23. Iqbal A, Schloss S, George D, Isonaka S. Worldwide guidelines for chronic obstructive pulmonary disease: a comparison of diagnosis and treatment recommendations. Respirology. 2002;7(3):233-9.
24. Fletcher C, Peto R. The natural history of chronic airflow obstruction. Br Med J. 1977;1(6077):1645-8.
______________________________________________________________
* Trabalho realizado na Universidade Estadual de Campinas - UNICAMP - Campinas (SP) Brasil e na Universidade Federal do Estado de São Paulo - UNIFESP - São Paulo (SP) Brasil.
1. Professor Assistente Doutor da Área de Saúde Ocupacional do Departamento de Medicina Preventiva e Social da Faculdade de Ciências Médicas da Universidade Estadual de Campinas - UNICAMP - Campinas (SP) Brasil.
2. Professor Adjunto Livre-Docente de Pneumologia da Universidade Federal de São Paulo - UNIFESP - São Paulo (SP) Brasil.
3. Professor da Faculdade de Ciências Médicas da Santa Casa de São Paulo, São Paulo (SP) Brasil.
Endereço para correspondência: Ericson Bagatin. Rua Borges Lagoa, 564, cj. 81/82, Vila Clementino - CEP 04038-000, São Paulo, SP, Brasil. Tel: 55 19 3289-4738. E-mail: ebagatin@fcm.unicamp.br

Indexes

Development by:

© All rights reserved 2025 - Jornal Brasileiro de Pneumologia