ABSTRACT
Schistosomiasis mansoni is the third most prevalent endemic parasitic disease in the world. It is estimated that over 200 million people are infected with parasites belonging to one of the Schistosoma species. Of those, 270,000 people (4.6%) suffer from pulmonary arterial hypertension, which is associated with the hepatosplenic form of the disease. This high prevalence makes schistosomiasis-associated pulmonary hypertension the leading cause of pulmonary hypertension worldwide. However, no specific treatment for the pulmonary vascular component of the disease has yet been devised. We report the case of a patient with schistosomiasis-associated pulmonary hypertension who was treated satisfactorily with a phosphodiesterase-5 inhibitor (sildenafil).
Keywords:
Schistosomiasis mansoni; Hypertension, pulmonary; Drug therapy.
RESUMO
A esquistossomose mansoni é a terceira doença parasitária endêmica mais prevalente do mundo. Estima-se que mais de 200 milhões de pessoas estejam infectadas com uma das espécies do parasita Schistosoma. Dessas, 270.000 pessoas (4,6%) são portadoras de hipertensão arterial pulmonar, que é associada à forma hepatoesplênica da doença. Essa alta prevalência coloca a hipertensão pulmonar esquistossomótica como a causa mais frequente de hipertensão pulmonar no mundo. Entretanto, o tratamento dirigido especificamente ao acometimento vascular pulmonar não está ainda estabelecido. Relatamos o caso de uma paciente portadora dessa doença que foi tratada com um inibidor de fosfodiesterase-5 (sildenafil) com resultados satisfatórios.
Palavras-chave:
Esquistossomose mansoni; Hipertensão pulmonar; Quimioterapia.
IntroductionPulmonary hypertension (PH) syndrome is a heterogeneous group of conditions that have one common feature: pulmonary artery involvement, characterized by remodeling of the intimal and medial vascular layers, with a consequent increase in pulmonary vascular resistance, hypertrophy, and right ventricular dilatation, which can lead to significant cardiac dysfunction (cor pulmonale) and death.(1-3)
Currently, PH is defined as a resting mean pulmonary artery pressure equal to or greater than 25 mmHg, as measured by right heart catheterization.(4) The current classification includes five groups, and Group I (pulmonary arterial hypertension-PAH) is defined as a resting mean pulmonary artery pressure ≥ 25 mmHg, plus values < 15 mmHg for pulmonary artery wedge pressure and left ventricular end-diastolic pressure, or left atrial pressure.(5)
Clinically, PH syndrome manifests as dyspnea, oppressive chest pain, or syncope on exertion; radiologically, it manifests as dilatation of the pulmonary arteries and trunk; and, echocardiographically, it manifests as increased pulmonary artery systolic pressure, calculated on the basis of the tricuspid regurgitant jet velocity and the right atrial pressure.(4,6)
Schistosomiasis is the third most prevalent endemic parasitic disease in the world, surpassed only by malaria and amebiasis.(7-9) It is estimated that 300 million individuals are infected with parasites belonging to one of the Schistosoma species-S. mansoni, S. haematobium, and S. japonicum being the most common. Another 600 million individuals are at risk for such infection.(8) Colonization of the lung is a mandatory step in the life cycle of the parasite, which causes acute and chronic pulmonary lesions, the latter usually being associated with the hepatosplenic form of the disease.(9,10) Chronic pulmonary involvement, which is more common in endemic areas, seems to result from inflammatory mechanisms in the vascular wall rather than simply from thromboembolic events caused by the migration of parasite eggs to, as well as the impaction of such eggs in, the pulmonary arterioles, which can result in remodeling, increased vascular resistance, PH, and right ventricular failure (cor pulmonale).(9,11)
In Brazil, the drugs currently available for the treatment of PAH are bosentan and sildenafil. These drugs have not been systematically tested in the management of patients with the schistosomiasis-associated form, there having been only brief communications and initial (unpublished) studies presented at conferences. The functional and quality-of-life outcomes obtained with these drugs in randomized clinical trials involving other groups of patients have been favorable, which should encourage controlled studies of this important and common condition. Among the outcome measures, six-minute walk distance (6MWD), determined in patients with idiopathic PAH, showed a significant correlation with functional class, cardiac output, pulmonary vascular resistance, and oxygen consumption, as well as a significant and independent association with mortality, the cut-off point for the 6MWD being 332 m.(12)
The objective of this article was to report the experience of using a phosphodiesterase-5 inhibitor (sildenafil) to treat a patient with schistosomiasis-associated PH and cor pulmonale.
Case reportA 35-year-old female patient, born in the northeastern region of the state of Minas Gerais, Brazil, and suffering from the hepatosplenic form of schistosomiasis mansoni, accompanied by PH, was under treatment in the Department of Infectious and Parasitic Diseases and at the Outpatient Clinic for Disorders of the Pulmonary Circulation of the Federal University of Minas Gerais Hospital das Clínicas. The patient reported having experienced orthopnea, nocturnal paroxysmal dyspnea, chest pain, and palpitation since she was 18 years old. Five years prior, she had been admitted to the ICU with suspected pulmonary embolism. From that time onward, her symptoms progressively worsened, leading to marked limitation of activities (inability to do housework) and recurrent hospitalizations due to severe right ventricular decompensation.
At the first assessment, the patient complained of lower limb edema, nausea, and uncharacteristic chest pain. She had exertion-triggered presyncope, with limitation corresponding to functional class IV (World Health Organization).
Physical examination revealed jugular engorgement and regular sinus rhythm with an accentuated second heart sound over the lung, although pulmonary auscultation revealed no abnormalities. During an examination following a recent hospitalization, there was no lower limb edema. The liver was palpable 4 cm below the left costal margin and was painful. The spleen was type II.
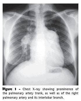
An ultrasound scan of the abdomen revealed moderate central and peripheral echogenic periportal thickening, gallbladder wall thickening, with signs of portal hypertension (portal vein = 13 mm and splenic vein = 10 mm), and an 11-mm paraumbilical vein as a pathway of collateral circulation, all of which are consistent with hepatosplenic schistosomiasis. The longitudinal diameter of the spleen was 117 mm. At the first assessment, upper digestive tract endoscopy revealed small-diameter esophageal varices. The serology was negative for hepatitis B surface antigen (HBsAg), antibody to hepatitis B surface antigen (anti-HBs), antibody to hepatitis B core antigen (anti-HBc), and antibody to hepatitis C virus (anti-HCV). A chest X-ray showed dilated pulmonary arteries and right heart enlargement (Figure 1), both of which were confirmed by chest CT (Figure 2). An electrocardiogram showed signs of right heart overload. An echocardiogram revealed right atrial and right ventricular enlargement, with an estimated pulmonary artery systolic pressure of 145 mmHg, as well as aneurysmal dilatation of the pulmonary artery (56 mm). The spirometry results were as follows: FEV1 = 2.22 L (76%); FVC = 3.04 L (90%); FEV1/FVC = 73.03%; and a negative bronchodilator test. The 6MWD was 153.6 m, and the test was interrupted, due to presyncope, at 75 s. Angiotomography and lung scintigraphy, which had been performed previously, revealed aneurysmal dilatation of the pulmonary artery, no pulmonary artery filling defects, and a low probability of pulmonary embolism. Right heart catheterization showed a pulmonary artery systolic pressure of 140 mmHg, a mean pulmonary artery pressure of 88 mmHg, a cardiac index of 3.0 L min−1 m−2, and pulmonary vascular resistance of 23.0 Woods. Pulmonary vasoreactivity testing with nitric oxide was negative.


In view of the severity of the case, the frequent and life-threatening hospitalizations, the severe functional limitation, and the favorable results obtained with other patients, the need for a specific treatment for PAH was discussed. Sildenafil, at a dose of 20 mg administered three times a day, was chosen as an empirical treatment. In the observed period, there was a significant improvement in the symptoms, the functional capacity, and the 6MWD, as shown in Table 1.
DiscussionSchistosomiasis has a prominent position among the causes of PAH in the world and particularly in Brazil. The true prevalence of schistosomiasis-associated PH remains unknown, but since the parasitic disease is very common, it is speculated that schistosomiasis-associated PH is the leading cause of PAH worldwide.(11,13,14)
From a pathological standpoint, there is evidence of chronic granulomatous pulmonary arteriolar involvement, and fibrosis, together with hypertrophy of the intimal, medial, and adventitious layers, regardless of the presence of parasite eggs in the vascular wall.(13) In 246 patients with cardiopulmonary involvement who were suspected of being infected with S. mansoni, one group of authors found echocardiographic signs of PH in 25% of the cases, and 80% had been diagnosed with schistosomiasis.(15) Another group of authors reported PH in 7.5-21.6%
of the schistosomiasis patients evaluated.(7)
Data from facilities specializing in the treatment of patients with PH in Brazil suggest that schistosomiasis is the cause of the disease in at least 30% of such patients.(16) The clinical presentation seems to be similar to that of idiopathic PAH, being characterized by dyspnea on exertion, weakness, cough, palpitation, chest pain, and hemoptysis.(16) Chest X-ray usually shows dilatation of the pulmonary artery trunk and cardiomegaly due to right ventricular enlargement.(17,18)
The case described here illustrates two relevant points. The first is related to the adoption of recommendations made in clinical guidelines. Although guidelines are fundamental to the rational use of resources, as well as to ensuring favorable cost-benefit and risk-benefit ratios, they should be used critically and in accordance with the particularities of local medical facilities, the resources available, and the characteristics of the individual cases. The second point is related to the specific clinical case, which was that of a young woman incapacitated by an endemic disease, with a high risk of death, high morbidity due to limited functional capacity, and successive hospitalizations. Taking these factors into consideration, as well as previous reports of good results in small groups of patients at other facilities,(14) we decided to attempt treatment with PAH-specific drugs. There was a significant improvement in functional capacity, an increase in the 6MWD, and a reduction in the need for hospitalization. The first two outcomes have been the principal markers of treatment response in clinical trials. However, the clinical significance of variations in the 6MWD and in the predicted value for different populations has yet to be defined adequately. Recently, a formula for predicting the 6MWD for Brazilians was devised based on a sample of 134 healthy volunteers, subsequently showing a good prospective correlation in an additional sample of 85 volunteers.(19) In the case reported here, the differences between the baseline 6MWD and the 6MWD at completion of three months of treatment and between the baseline 6MWD and the 6MWD after six months of treatment were 279.0 and 330.0 m, respectively, far superior to the minimum significant difference of 51 m observed after one year of treatment in another sample of patients.(20) The therapeutic response suggests that therapy with these drugs, in this case a phosphodiesterase-5 inhibitor, can be of great help in the treatment of schistosomiasis-associated PAH, in terms of improving functional capacity, reducing morbidity, and improving quality of life.
Controlled studies of sildenafil and other drugs approved for the treatment of PAH are needed to confirm these results in patients with schistosomiasis-associated PAH and to evaluate a possible benefit in terms of reducing the mortality rate of this condition.
References1. Tuder RM, Abman SH, Braun T, Capron F, Stevens T, Thistlethwaite PA, et al. Development and pathology of pulmonary hypertension. J Am Coll Cardiol. 2009;54(1 Suppl):S3-9.
2. Hassoun PM, Mouthon L, Barberà JA, Eddahibi S, Flores SC, Grimminger F, et al. Inflammation, growth factors, and pulmonary vascular remodeling. J Am Coll Cardiol. 2009;54(1 Suppl):S10-9.
3. McLaughlin VV, McGoon MD. Pulmonary arterial hypertension. Circulation. 2006;114(13):1417-31.
4. Badesch DB, Champion HC, Sanchez MA, Hoeper MM, Loyd JE, Manes A, et al. Diagnosis and assessment of pulmonary arterial hypertension. J Am Coll Cardiol. 2009;54(1 Suppl):S55-66.
5. Simonneau G, Robbins IM, Beghetti M, Channick RN, Delcroix M, Denton CP, et al. Updated clinical classification of pulmonary hypertension. J Am Coll Cardiol. 2009;54(1 Suppl):S43-54.
6. Rich S, Dantzker DR, Ayres SM, Bergofsky EH, Brundage BH, Detre KM, et al. Primary pulmonary hypertension. A national prospective study. Ann Intern Med. 1987;107(2):216-23.
7. Lambertucci JR, Serufo JC, Gerspacher-Lara R, Rayes AA, Teixeira R, Nobre V, et al. Schistosoma mansoni: assessment of morbidity before and after control. Acta Trop. 2000;77(1):101-9.
8. Schwartz E. Pulmonary schistosomiasis. Clin Chest Med. 2002;23(2):433-43.
9. Morris W, Knauer CM. Cardiopulmonary manifestations of schistosomiasis. Semin Respir Infect. 1997;12(2):159-70.
10. Lambertucci J. Schistosoma mansoni: pathological and clinical aspects. In: Jordan P, Webbe G, Sturrock RF, editors. Human Schistosomiasis. Wallingford: CAB International; 1993. p. 295-325.
11. Lapa M, Dias B, Jardim C, Fernandes CJ, Dourado PM, Figueiredo M, et al. Cardiopulmonary manifestations of hepatosplenic schistosomiasis. Circulation. 2009;119(11):1518-23.
12. Miyamoto S, Nagaya N, Satoh T, Kyotani S, Sakamaki F, Fujita M, et al. Clinical correlates and prognostic significance of six-minute walk test in patients with primary pulmonary hypertension. Comparison with cardiopulmonary exercise testing. Am J Respir Crit Care Med. 2000;161(2 Pt 1):487-92.
13. Butrous G, Ghofrani HA, Grimminger F. Pulmonary vascular disease in the developing world. Circulation. 2008;118(17):1758-66.
14. Chitsulo L, Engels D, Montresor A, Savioli L. The global status of schistosomiasis and its control. Acta Trop. 2000;77(1):41-51.
15. Barbosa MM, Lamounier JA, Oliveira EC, Souza MV, Marques DS, Silva AA, et al. Pulmonary hypertension in schistosomiasis mansoni. Trans R Soc Trop Med Hyg. 1996;90(6):663-5.
16. Lapa MS, Ferreira EV, Jardim C, Martins Bdo C, Arakaki JS, Souza R. Clinical characteristics of pulmonary hypertension patients in two reference centers in the city of Sao Paulo [Article in Portuguese]. Rev Assoc Med Bras. 2006;52(3):139-43.
17. Lambertucci JR, Carvalho VT, Silva LC. Pulmonary hypertension in schistosomiasis mansoni. Rev Soc Bras Med Trop. 2006;39(3):295-6.
18. Lambertucci JR, dos Santos Silva LC, Andrade LM, de Queiroz LC, Carvalho VT, Voieta I, et al. Imaging techniques in the evaluation of morbidity in schistosomiasis mansoni. Acta Trop. 2008;108(2-3):209-17.
19. Iwama AM, Andrade GN, Shima P, Tanni SE, Godoy I, Dourado VZ. The six-minute walk test and body weight-walk distance product in healthy Brazilian subjects. Braz J Med Biol Res. 2009;42(11):1080-5.
20. Galiè N, Ghofrani HA, Torbicki A, Barst RJ, Rubin LJ, Badesch D, et al. Sildenafil citrate therapy for pulmonary arterial hypertension. N Engl J Med. 2005;353(20):2148-57. Erratum in: N Engl J Med. 2006;354(22):2400-1.
* Study carried out in the Department of Pulmonology and Thoracic Surgery and in the Department of Infectious and Parasitic Diseases, Federal University of Minas Gerais School of Medicine Hospital das Clínicas, Belo Horizonte, Brazil.
Correspondence to: Ricardo de Amorim Corrêa. Rua Abadessa Gertrudes Prado, 77/802, Vila Paris, CEP 30380-790, Belo Horizonte, MG, Brasil.
Tel 55 31 3293-3910. E-mail: racorrea9@gmail.com
Financial support: None.
Submitted: 1 December 2009. Accepted, after review: 5 August 2010.
About the authorsRicardo de Amorim Correa
Adjunct Professor. Federal University of Minas Gerais School of Medicine, Belo Horizonte, Brazil.
Marcus Vinicius Souza Couto Moreira
Resident in Pulmonology. Department of Pulmonology and Thoracic Surgery, Federal University of Minas Gerais School of Medicine Hospital das Clínicas, Belo Horizonte, Brazil.
Jucielle Marcelina da Silva Saraiva
Pulmonologist. Hospital Militar, Belo Horizonte, Brazil.
Eliane Viana Mancuzo
Physician. Pulmonary Function Laboratory, Department of Pulmonology and Thoracic Surgery, Federal University of Minas Gerais School of Medicine Hospital das Clínicas, Belo Horizonte, Brazil.
Luciana Cristina dos Santos Silva
Physician. Outpatient Clinic for Infectious and Parasitic Diseases, Federal University of Minas Gerais School of Medicine Hospital das Clínicas, Belo Horizonte, Brazil.
José Roberto Lambertucci
Full Professor. Federal University of Minas Gerais School of Medicine, Belo Horizonte, Brazil.