Continuous and bimonthly publication
ISSN (on-line): 1806-3756

Licença Creative Commons
68469
Views
Back to summary
Open Access Peer-Reviewed
Review Article

Magnetic resonance imaging of the chest: Current and new applications, with an emphasis on pulmonology

Ressonância magnética do tórax: Aplicações tradicionais e novas, com ênfase em pneumologia

Marcel Koenigkam Santos, Jorge Elias Júnior, Fernando Marum Mauad, Valdair Francisco Muglia, Clóvis Simão Trad

ABSTRACT

The objective of the present review study was to present the principal applications of magnetic resonance imaging (MRI) of the chest, including the description of new techniques. Over the past decade, this method has evolved considerably because of the development of new equipment, including the simultaneous interconnection of phased-array multiple radiofrequency receiver coils and remote control of the table movement, in addition to faster techniques of image acquisition, such as parallel imaging and partial Fourier acquisitions, as well as the introduction of new contrast agents. All of these advances have allowed MRI to gain ground in the study of various pathologies of the chest, including lung diseases. Currently, MRI is considered the modality of choice for the evaluation of lesions in the mediastinum and in the chest wall, as well as of superior sulcus tumors. However, it can also facilitate the diagnosis of lung, pleural, and cardiac diseases, as well as of those related to the pulmonary vasculature. Pulmonary MRI angiography can be used in order to evaluate various pulmonary vascular diseases, and it has played an ever greater role in the study of thromboembolism. Because cardiac MRI allows morphological and functional assessment in the same test, it has also become part of the clinical routine in the evaluation of various cardiac diseases. Finally, the role of MRI has been extended to the identification and characterization of pulmonary nodules, the evaluation of airway diseases, and the characterization of pleural effusion.

Keywords: Magnetic resonance imaging; Thorax; Pulmonary medicine.

RESUMO

O objetivo deste estudo de revisão foi apresentar as principais aplicações da ressonância magnética (RM) no estudo do tórax, incluindo a descrição de novas técnicas. Na ultima década, esse método teve grande evolução, com novos equipamentos, incluindo a interconexão simultânea de bobinas e a movimentação da mesa simultaneamente à aquisição das imagens, além do advento de novas técnicas rápidas de aquisição de imagem, tais como imagem paralela e aquisição parcial de dados, com ou sem utilização de apneia, somando-se ainda a introdução de novos agentes de contraste. Todos esses avanços fizeram com que a RM tenha ganhado espaço no estudo de diferentes patologias do tórax, incluindo as doenças pulmonares. Atualmente, a RM pode ser considerada a modalidade de escolha para a avaliação das lesões mediastinais, da parede torácica e dos tumores do sulco superior, mas também pode auxiliar no diagnóstico de doenças pulmonares, pleurais, cardíacas e da vasculatura pulmonar. A angiografia pulmonar por RM pode ser utilizada na avaliação de várias doenças vasculares pulmonares, e seu papel no estudo do tromboembolismo vem crescendo. A RM cardíaca, devido à possibilidade de avaliação morfológica e funcional em um mesmo exame, também já faz parte da rotina clínica na investigação de muitas patologias cardíacas. Por fim, o papel da RM vem sendo ampliado para a identificação e caracterização de nódulos pulmonares, avaliação das doenças das vias aéreas e caracterização dos derrames pleurais.

Palavras-chave: Imagem por ressonância magnética; Tórax; Pneumologia.

Introduction

Traditionally, the limitations of magnetic resonance imaging (MRI) of the chest are related to motion artifacts, caused by breathing and heartbeats, as well as to problems related to the low quantity of tissue water protons in the thoracic cavity due to air space enlargement, such problems including magnetic susceptibility artifacts and a lower signal-to-noise ratio. Recently, however, the method has evolved remarkably, and new equipment has become available. New features include the simultaneous interconnection of phased-array multiple radiofrequency receiver coils and remote control of the table movement. In addition, faster image acquisition techniques, such as parallel imaging and partial Fourier acquisition, with or without the use of apnea, have emerged, and new contrast agents have been introduced. All of these advances have allowed MRI to be more widely used in the study of various thoracic diseases, including lung diseases.

In this review article, we describe new MRI techniques and applications and, in many cases, compare them with CT, showing the equivalence between MRI and CT or the superiority of MRI over CT in the evaluation of certain diseases, without losing sight of the limitations of MRI. An acceptable MRI study of the chest requires high-field equipment, with modern, appropriate coils; targeted, well-executed protocols; minimal patient cooperation; and absence of clinical contraindications (such as the use of a pacemaker). In addition, if vital sign monitoring is used or the patient is on ventilatory support, the other equipment in use should be compatible with the MRI scanner.

The objective of the present study was to present an updated review of the use of MRI in the study of thoracic diseases, including the description of new techniques for the evaluation of mediastinal structures and for the diagnosis of lung diseases, pleural diseases, and pulmonary vascular diseases.

Technical considerations

The imaging method that is most widely used in clinical practice for the study of thoracic diseases is CT. Even in situations in which MRI can be considered superior, CT is performed, principally because CT equipment is more widely available and has faster image acquisition, as well as because CT is more well recognized and accepted among clinicians and surgeons. In addition, for most physicians, anatomical landmarks are more easily recognized on CT scans than on MRI. Therefore, the principal advantages of CT are its high spatial resolution, rapidity, and ease of use. However, CT uses ionizing radiation, and, more often than not, there is a need to inject iodinated contrast material; therefore, CT is not completely innocuous.(1)

The principal advantages of MRI include the absence of ionizing radiation, greater contrast resolution between normal and pathological tissue, and the use of nonionic contrast media, principally gadolinium-based contrast agents, which have lower incidence of adverse reactions and complications. The sensitivity of MRI to the use of paramagnetic contrast agents is greater than is that of contrast-enhanced CT, and MRI is therefore more accurate in evaluating blood vessels, tissue perfusion, and lesions.(2)

The overall incidence of acute adverse reactions to gadolinium ranges from 0.14% to 0.28%. Cases of acute reactions that are more severe, such as laryngospasm and anaphylactic shock, are extremely rare.(3) A severe chronic condition, designated nephrogenic systemic fibrosis (NSF)-a rare dermatologic disease that occurs only after the use of specific types of gadolinium-based contrast agents in patients with renal failure (glomerular filtration rate < 30 mL  min−1  [1.73 m2]−1)-has recently been described.(4) However, the selection of safer contrast media, associated with a restriction in the volume of contrast material injected in patients at risk, has dramatically reduced the number of cases of NSF.(5)

The principles of image formation in MRI are complex and are available in texts that specifically address this theme.(6) However, we can succinctly describe two basic techniques for image acquisition: spin-echo (SE) imaging and gradient-echo (GE) imaging. Both techniques have advantages and disadvantages. In MRI, there are basically three tissue characteristics that can be identified according to the organization of tissue water protons and their response to the magnetic field and radiofrequency stimulation: T1 relaxation time; T2 relaxation time; and proton density (PD).
These characteristics are responsible for the signal intensity (brightness) of images, and, by choosing the technique and parameters for each sequence, we can obtain T1-weighted images, T2-weighted images, and PD-weighted images, which allow us to distinguish between normal tissue and diseased tissue (to identify pathological processes). Although most pathological processes present high T2 signal intensity and low T1 signal intensity, some elements have characteristic signals that increase the specificity of the method, such as the hyperintense T1 and T2 signals indicating methemoglobin (recent hemorrhage), melanin, cysts, and protein-rich fluid collections. With specific sequences, it is also possible to suppress, in a selective manner, the signal intensity of certain substances, such as lipids (fat suppression sequences) and cerebrospinal fluid. In addition, certain artifacts that are typical of MRI-including magnetic susceptibility (detection of calcifications and hemosiderin), chemical exchange (identification of hepatic steatosis and adrenal adenomas), and flow void-contribute greatly to tissue characterization.(6)

Additional difficulties in performing MRI of the chest and abdomen are principally related to motion artifacts (respiratory and cardiovascular), as well as to artifacts caused by intestinal peristalsis. These difficulties have been partially overcome with the development of new and faster image acquisition techniques. New sequences of images acquired in apnea, such as the three-dimensional (3D) GE sequence and the half-Fourier single-shot turbo SE (HASTE) sequence, allowed a reduction in the duration of the test and an increase in image quality in a practical and reproducible manner.(7,8) Respiratory-gated MRI, cardiac-gated MRI (based on electrocardiogram), and black-blood MRI (to improve the flow void) are also used to compensate for motion artifacts.(8,9) These rapid techniques give MRI an advantage over the remaining imaging methods for the assessment of pulmonary function parameters, such as lung perfusion and respiratory dynamics.

Lungs

For the evaluation of lung cancer, MRI is considered superior to other imaging methods in certain situations. In addition, MRI is considered superior to other methods in the evaluation of certain diseases of the pleural space. Through the use of new contrast media, such as inhaled noble gases, MRI can also be used in the evaluation of the most distal airways and the alveolar space. The identification of lesions in the lung parenchyma has progressively improved with the use of new and faster image acquisition techniques.

Lung cancer

It has been shown that MRI is equivalent to or better than CT for local staging of bronchogenic carcinoma, and MRI is the imaging method of choice to evaluate and determine the resectability of non-small cell lung cancer of the superior sulcus (Pancoast tumor).(10)

Imaging studies play an important role in determining the anatomical extent of Pancoast tumor and should be aimed at staging the neoplasm in accordance with the tumor-node-metastasis classification (TNM; local extent, lymph nodes, and metastases) in order to determine the appropriate treatment. In confirming the presence of a tumor mass, CT
plays a central role, as it does in guiding the biopsy of such masses.
Absolute contraindications to surgical resection of Pancoast tumor include invasion of the brachial plexus roots or trunks at levels above T1, invasion of more than 50% of a vertebral body, and invasion of the trachea or esophagus.(11) By means of MRI, it is possible to determine the local extent of the neoplasm with excellent conspicuity, identifying direct invasion of the extrapleural fat and cervicothoracic junction by the lung mass. In the determination of the extent of tumor invasion of the chest wall, vertebral canal, and vertebral foramens, as well as in the determination of brachial plexus involvement, MRI is superior to CT. It is important to use respiratory and cardiac gating, as well as T1-weighted, fat-suppressed, contrast-enhanced sequences.(10,11)

In general, bronchogenic carcinoma appears on MRI as a solid, irregular lesion, ranging from hypointense to isointense on T1-weighted images and hyperintense on T2-weighted images, with intense enhancement after the administration of contrast material, being heterogeneous in larger lesions due to areas of central necrosis. Even in lesions outside the superior sulcus, MRI can better identify direct invasion of adjacent structures (Figure 1), including the mediastinum (aortopulmonary window and remaining spaces), trachea, bronchi, chest wall, diaphragm (costophrenic angle tumor and cardiophrenic angle tumor), heart (pericardium or myocardium), and large blood vessels (aorta and pulmonary arteries). The sensitivity of MRI in differentiating between T3 and T4 tumors is similar to that of CT. However, MRI is more accurate in identifying mediastinal and hilar invasion. The use of dynamic cine MRI can increase MRI specificity in detecting invasion of the chest wall and pericardium. New MRI techniques have increased the sensitivity of the test in detecting mediastinal lymph nodes that are suspected of being metastatic. A short inversion time (TI) inversion recovery sequence (a T2-weighted technique with fat suppression by inversion and recovery) allows the differentiation between metastatic and non-metastatic lymph nodes in patients with non-small cell tumors, metastatic lymph nodes being more intense.(12-15)





Recent advances have made it possible to obtain MRI of the entire body (principally with HASTE and short TI inversion recovery sequences), and there have been studies investigating the use of whole-body MRI to screen for neoplasia and metastases. The use of magnetic resonance angiography (MRA) in cerebral and coronary atherosclerosis has also been investigated. Although these techniques could become simple, low-risk, effective methods for the detection distant metastases from lung cancer, their roles have yet to be fully established.(16,17)

Pulmonary nodules

Tissue contrast resolution is a great advantage of MRI, and the high contrast between the signal intensity of a nodule and that of the adjacent normal lung parenchyma can compensate for the shortcomings of the method in the study of the lungs. In addition, the greater sensitivity of MRI to paramagnetic contrast agents and the high temporal resolution without the hazardous effects of ionizing radiation allow perfusion (of the lung and of the lesion) to be evaluated, which can be useful in the characterization of focal lesions. Therefore, different techniques can be used in the detection of pulmonary nodules and in the differentiation between benign and malignant lesions.

The accuracy of MRI in detecting nodules larger than 4-5 mm is greater than is that of routine X-ray, and the specificity and sensitivity of MRI can be as high as 93% when compared with those of multidetector CT.(18) The sensitivity of MRI is directly related to the size of the nodule. Sensitivity is lower for nodules smaller than 5 mm, whereas it is nearly 100% for the detection of nodules ≥ 10 mm (Figure 2). Therefore, MRI of the lung (principally with the HASTE and 3D GE sequences) should be used as a complementary test in studies of the heart and chest wall, as well as in those of mediastinal lesions. It can also be used as an alternative to CT in screening for lung metastases. The principal limitations of MRI in the study of focal pulmonary lesions include its limited ability to characterize calcified lesions and to detect lymphangitic carcinomatosis.(18-20)




Dynamic contrast-enhanced MRI can be performed to characterize solitary pulmonary nodules and is useful in differentiating between benign and malignant lesions. The specificity of MRI in such cases is greater than is that of dynamic CT, and its accuracy is similar to that of positron emission tomography (PET). The sensitivity of the combination between morphological evaluation and evaluation of perfusion for the differentiation of solitary nodules can be as high as 100%, whereas the specificity is only 79%.(21,22) Malignant nodules are delineated by predominantly nodular enhancement that is rapid and intense and is detected in the early (arterial) phase, with higher peak enhancement and, subsequently, contrast washout. Active inflammatory nodules can present early enhancement; however, enhancement persists or progresses in later phases, whereas washout is considered a highly specific sign of malignancy. Benign nodules, including hamartomas and granulomas, show predominantly peripheral enhancement that is less intense and slower, whereas cysts show no enhancement.(22,23) Other morphological characteristics of benign nodules, such as the typical appearance of hamartomas, with high T2 signal intensity, foci of fat, and internal septations or clefts, can be accurately identified by MRI.(24)

New semiquantitative techniques for the MRI identification and characterization of pulmonary nodules include the calculation of T1 and T2 relaxation times, as well as of the diffusion coefficient.(25) Diffusion-weighted MRI evaluates the mobility of free water protons, and the role of this technique in the early detection of cerebral infarction, as well as in the evaluation of neoplasms and recurrent tumors in neurology, is well-established. New techniques for the acquisition of breath-hold diffusion-weighted MRI have been used in the study of abdominal neoplasms, such as liver neoplasms,(26) and seem promising in the evaluation of pulmonary nodules, including the possibility of performing whole-body MRI with an accuracy that is similar to that of PET, which is a functional evaluation method that nevertheless uses radioactive material.(27)

Airway diseases

Ventilation scintigraphy is currently the only imaging method that is used in clinical practice as an alternative to pulmonary function tests (spirometry and DLCO). However, nuclear medicine has disadvantages, which are principally related to the use of radioactive substances and to the low spatial resolution. These disadvantages have prompted studies investigating new methods, including MRI. The use of oxygen and hyperpolarized noble gases, principally helium (3He) and xenon (129Xe), as inhaled contrast agents, has allowed marked signal gain and excellent spatial resolution on lung parenchyma images, and the applicability of such gases in the morphological and functional evaluation of the airways and alveolar space has been demonstrated.(28,29)

Hyperpolarized gas MRI can demonstrate areas of ventilatory defect in patients with emphysema and correlates well with scintigraphy. The spatial resolution of hyperpolarized MRI is greater than is that of scintigraphy and allows the evaluation of the distribution and morphology of the regional pattern of impairment, identifying small peripheral ventilatory defects, which might be associated with bronchial obstruction. Diffusion-weighted MRI acquired using 3He are highly sensitive in identifying subtle changes in lung microstructure (alveolar destruction), correlate well with pulmonary function tests, and can be used for early detection of pulmonary emphysema in asymptomatic patients who smoke.(30)

Other airway diseases, such as asthma, cystic fibrosis, and
bronchiectasis, can also be studied. In asthma, the use of 3He allows the identification of areas of ventilatory defect, which are more prominent in patients with severe asthma than in those with mild asthma. Regional ventilatory defects that improve after the use of bronchodilator therapy can also be demonstrated, and even subtle ventilatory changes can be identified in patients with asthma and normal pulmonary function test results.(31) The ventilatory changes found in patients with cystic fibrosis correlate extremely well with the anatomical changes seen on HRCT scans; in addition, MRI correlates better with spirometry and can show the improvement in ventilatory defects after specific therapies (Figure 3).(32)




Other types of damage to the lung parenchyma

Changes in the lung parenchyma, such as consolidations and other opacities, can be identified by MRI, which can aid in special situations, complementing X-ray and CT evaluation.(33)

In the characterization of central lung cancer with obstructive pneumonia or atelectasis, MRI is useful and differentiates a tumor mass from secondary changes, which present increased signal intensity on T2-weighted images and a more homogeneous appearance (due to the accumulation of secretions and fluid), as well as an enhancement pattern that is different from that of the neoplastic lesion.(34) In invasive pulmonary aspergillosis, MRI is more specific than CT in characterizing consolidations associated with hemorrhagic infarction secondary to vascular invasion (Figure 4).
Hemorrhages appear as areas (commonly peripheral) of hyperintensity on T1-weighted images, whereas contrast-enhanced MRI allows the identification of areas of active inflammation, central necrosis, and abscess formation. The peculiar characteristics of the signal indicating hemoglobin degradation products and of that indicating fat degradation products also allow MRI to aid in the diagnosis of hemorrhagic pulmonary infarction, alveolar hemorrhage (as occurs in the Goodpasture's syndrome), and lipoid pneumonia associated with mineral oil aspiration.(35)




Pleura

Although routine chest X-rays allow the identification of changes in the pleural space, their ability to characterize the pleural content and detect pleural involvement is quite limited. Therefore, in many situations, complementary tests with other methods, such as ultrasound, CT, and MRI, are required. Chest X-rays are especially ineffective in the evaluation of complex pleural effusions and in the differentiation between benign and malignant pleural disease, for which CT and MRI are indicated.

On CT scans and MRI, the findings that are most suggestive of malignant pleural disease are mediastinal pleural involvement, circumferential pleural thickening, nodular opacity, irregularity of pleural contour, and infiltration of the chest wall or diaphragm. Based on these signs, the accuracy of MRI in detecting malignancy is similar to that of CT. However, in addition to morphological changes, the signal intensity and enhancement characteristics of contrast-enhanced MRI can increase the specificity of the method in comparison with that of CT.(36) Malignant changes tend to have high T2 signal intensity and more intense enhancement with gadolinium. The signal of the adjacent intercostal muscles can be used for comparison, and, when these signal characteristics are associated with the morphological changes, the sensitivity and specificity of MRI can be as high as 100% and 93%, respectively. Because MRI is superior to CT in the identification of invasion of the chest wall and diaphragm, it is the method of choice in the evaluation of the resectability of malignant pleural lesions.(36)

Some of the advantages of CT in pleural evaluation remain, including its greater sensitivity in detecting pleural calcifications (suggestive of benignity) and in identifying bone destruction caused by a malignant lesion, as well as in guiding pleural biopsy.(37)

The most common causes of malignant pleural disease are metastases (breasts, lungs, and stomach), malignant mesothelioma, and pleural extent of bronchogenic carcinoma. The most common benign pleural diseases include diffuse pleural fibrosis, tuberculosis, and asbestosis. Traditionally, pleural thickening greater than 1.0 cm is considered a criterion for malignancy. However, not all studies with CT and MRI have demonstrated the specificity of this sign. As previously described, malignant pleural disease tends to involve the entire pleural surface, whereas reactive pleural thickness rarely affects the mediastinal pleura, with the exception of cases of tuberculous empyema.(36,37)

In the detection and characterization of pleural effusions, which commonly appear with high T2 signal intensity and low T1 signal intensity, varying according to the water and protein content, MRI is superior to X-rays and ultrasound. In comparison with CT, MRI is also superior, principally in the characterization of complex effusions (more clearly showing the septations in loculated effusions) and in the identification of exudates and hemorrhages (which show high T1 signal intensity), as well as of old bleedings, with peripheral areas of hypointensity due to hemosiderin deposition (Figure 5).(38)




Other benign pleural lesions can be adequately identified and characterized by MRI. Lipomas present a characteristic hyperintensity on T1- and T2-weighted images, with signal loss in fat suppression sequences. Pleural fibromas are well-delineated lesions that present intermediate T1 signal intensity, high T2 signal intensity, and contrast enhancement. Fibromas are differentiated from round atelectasis by identification of the comet tail artifact-which represents the bronchovascular trajectory toward the parenchyma with atelectasis-associated with intense and homogeneous contrast enhancement.(37-39)

Pulmonary circulation

By means of the new MRA techniques, principally the use of gadolinium-enhanced 3D GE sequences, it is now possible to identify even the fourth-order subsegmental pulmonary arteries of a normal lung. This technique allows the acquisition of images of high temporal resolution every 1.0-1.5 s, and these images can also be used to study lung parenchyma perfusion (Figure 6).(40) The GE sequences that show blood flow with high signal intensity, also known as bright blood sequences (balanced GE sequences, cine MRI, and cine phase-contrast MRI) allow the evaluation of the large blood vessels of the thorax without the need for contrast use, as well as allowing the dynamic evaluation of and flow measurement in the pulmonary arteries and aorta, thereby providing functional information for use in morphological studies.(41)




Thromboembolism and pulmonary hypertension

Pulmonary digital subtraction angiography (DSA) is still considered the gold standard for the diagnosis of pulmonary thromboembolism (PTE); however, among the noninvasive techniques, CT is the most widely used, and its sensitivity and specificity can be > 80% and > 90%, respectively. New advances in MRA have contributed to make it a promising alternative in the study of acute and chronic PTE.(42,43)

The diagnostic accuracy of high spatial resolution MRA in detecting acute PTE, principally in identifying emboli in lobar and segmental pulmonary arteries, can be similar to that of spiral CT; the sensitivity of MRA can be as high as 100%, whereas that of spiral CT can be as high as 84%.(44)
Emboli appear as images indicative of consistent flow impairment (contrast deficiency) or as an abrupt interruption of the signal. The many possibilities of multiplanar reconstruction of 3D images can facilitate the diagnosis and further increase the sensitivity of the method. Secondary signs of PTE are also identified, including pulmonary infarction. The use of new contrast agents that remain for longer periods in the larger vessels allows, in addition to the study of pulmonary vasculature, the acquisition of lower limb images to screen for deep vein thrombosis in the same examination.(45) New ventilation/perfusion techniques seem promising in making MRI an effective and robust alternative for the study of PTE and other diseases in which there are changes in lung perfusion, such as emphysema.(46)

A recent prospective multicenter study showed that many centers still have difficulty obtaining satisfactory MRA images of pulmonary vessels and suggested that only facilities that routinely perform the test with satisfactory quality can consider MRI as an alternative for the diagnosis of acute PTE, principally in patients for whom the standard tests are contraindicated.(47) Because of the dissemination of the method and the evolution of the techniques, it is likely that MRI will soon become a more reliable and reproducible method for the diagnosis of acute PTE, even in the clinical routine of major health care facilities.

On the basis of the alterations observed, it is possible to differentiate chronic thromboembolic disease from acute embolism. Chronic PTE changes, such as irregular vessel walls, thickening due to a concave thrombus adhered to the vessel wall, intraluminal streaks and bands, abnormal proximodistal tapering, and asymmetry/absence of segmental vessels, can be identified by MRA. Although MRA and DSA are similarly effective in detecting chronic arterial obstruction to the level of segmental arteries, MRA is superior in delineating the exact origin of the thrombotic material in the vessel.(48)

When associated with lung perfusion images, MRA can aid in differentiating between chronic thromboembolic pulmonary hypertension (CTEPH) and primary pulmonary hypertension (PPH). In addition to the signs of pulmonary hypertension, such as cardiomegaly and ectasia of the pulmonary trunk and arteries, we can identify the signs of chronic obstructive arterial disease. Perfusion changes in the lung parenchyma are also different. In CTEPH, the perfusion defect is segmental or circumscribed, whereas in PPH, it is irregular or diffuse. Perfusion-weighted MRI can provide important information regarding pulmonary microcirculation in cases selected for endarterectomy or even for segmental resection.(49)

Flow and velocity in the pulmonary arteries, as well as left and right cardiac output, can be measured with low interobserver and intraobserver variability. In pulmonary hypertension, cardiac MRI demonstrates right ventricular hypertrophy and dilatation, with reduced right ventricular ejection fraction without significant left ventricular dysfunction, as well as the presence of paradoxical interventricular septal motion. Cine phase-contrast MRI provides a flow pattern analysis that can serve as an estimate of mean pulmonary artery pressure and pulmonary vascular resistance and is therefore an alternative to invasive measurements by right heart catheterization.(48,49)

Other vascular changes in the lungs

Arteriovenous malformation (AVM) appears as a solid lesion with heterogeneous signal intensity and presents areas of signal absence in flow vessels (flow void), as well as areas of high T1 signal intensity in vessels with thrombosis and hemorrhagic foci. After the administration of a paramagnetic contrast agent, MRI of the mass becomes far clearer, and it is easy to identify the feeding artery and the draining vein, both dilated, which differentiates AVM from other pulmonary lesions. Highly conspicuous pulmonary AVM can be detected and staged by MRI, which can also be used as a screening method in patients with predisposing conditions, such as hereditary hemorrhagic telangiectasia.(50)

Pulmonary sequestration is characterized by a mass of nonfunctioning lung tissue that does not communicate with the tracheobronchial tree. Pulmonary sequestration appears on MRI as high T2 signal intensity, intermediate-to-high T1 signal intensity, intense contrast enhancement, and an atypical feeding artery, a systemic artery that originates from the thoracic or abdominal aorta. This anomalous artery can be identified by MRA, thus avoiding the need for conventional angiography.(51)

It has been shown that MRI can be used as a means of evaluating pulmonary hypoplasia and aplasia, even in the intrauterine environment. In the fetus, the affected lung has lower volume and a signal that is different from that of the normal lung. In children and adults, MRA demonstrates the abnormal vascularization of the affected lung, principally the absence of or marked reduction in the diameter of the pulmonary artery, and can also replace conventional angiography.(52,53)

Mediastinum

In the evaluation of mediastinal masses, MRI is currently the method of choice. Mediastinal neoplasms are classified as primary or secondary. Secondary mediastinal neoplasms are typically represented by lymph node enlargement. However, other non-neoplastic lesions, such as thoracic aortic aneurysms and substernal goiter, can also mimic mediastinal masses.

Lesions of the thymus are among the most common causes of mediastinal masses. Most are benign and include thymomas, thymolipomas, and thymic hyperplasia. Benign thymoma presents low T1 signal intensity and high T2 signal intensity. It sometimes has cystic components, and MRI can demonstrate the integrity of the capsule. Invasive thymoma presents evidence of capsule invasion, a multinodular appearance, and invasion of adjacent structures. Thymic carcinoma is less common and presents heterogeneous signal intensity, with irregular cystic areas, necrosis, and hemorrhage. Thymolipoma contains fat, which is easily identified by MRI. Thymic hyperplasia commonly represents an enlarged gland, the morphology and signal intensity of which is preserved, and MRI can aid in differentiating between hyperplasia and tumors in inconclusive or atypical cases.(54,55)

Germ cell tumors primarily affect the anterior mediastinum and account for approximately 15% of mediastinal masses. Of these, up to 80% are benign, teratomas being the most common type of benign germ cell tumors. On MRI, benign teratomas present as well-delineated lesions with a solid, cystic, fatty component, whereas malignant germ cell tumors tend to present as large, irregular, heterogeneous lesions, with areas of necrosis and hemorrhage. Congenital cystic lesions are classified according to their topography and principally include thymic cysts (anterior mediastinum), bronchogenic cysts (middle mediastinum), pericardial cysts (middle mediastinum), esophageal duplication cysts (posterior mediastinum), and neurogenic cysts (posterior mediastinum). Cysts are well-delineated lesions with low T1 signal intensity (varying according to the protein content), high T2 signal intensity, and no contrast enhancement.(56)

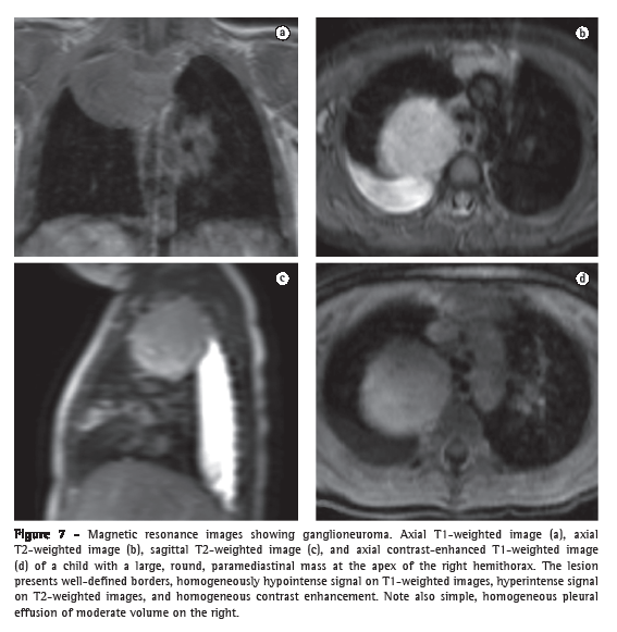
Neurogenic tumors are most commonly found in the posterior mediastinum, in the paravertebral region, and there is often a link between neurogenic tumors and the neural foramen (Figure 7). The lesions can originate from the peripheral nerve-being benign (neurofibroma and schwannoma) or malignant (neurofibrosarcoma)-or from the sympathetic ganglion (ganglioneuroma, ganglioneuroblastoma, and neuroblastoma). Benign lesions are more commonly characterized as spherical or lobulated masses with high T2 signal intensity, intense contrast enhancement, and homogeneous appearance, with the exception of neuroblastomas, which can be more heterogeneous and present with calcifications. Malignant lesions tend to be larger, more irregular, and more heterogeneous and present evidence of invasion of the medulla and thoracic spine.(57)




The most common causes of mediastinal lymphatic disease are metastatic disease and primary lymphoma, principally Hodgkin's disease. Lymphatic disease is commonly described as lymph node enlargement, the smallest diameter on MRI being greater than 1.0 cm, similarly to that seen with CT. The accuracy of MRI in identifying mediastinal and hilar pathological lymph nodes is good, and MRI is superior to CT in delineating confluent masses, as well as in identifying involvement of the adjacent structures; however, MRI is inferior in detecting calcifications, which are considered a routine sign of benign disease.(16,17,58)

Heart

In recent years, cardiac MRI has evolved from a scientific research tool to an imaging method that can be used in clinical practice, being safe and effective and showing a good cost-benefit ratio. Depending on the clinical indication, cardiac MRI can be performed in different modalities, including studies of morphology, function, perfusion, and myocardial viability. Cardiac MRI provides anatomical details in congenital heart diseases, in screening for arrhythmogenic right ventricular dysplasia, and in the evaluation of cardiac masses, differentiating, for instance, thrombi from neoplastic lesions. It is the most precise method for quantifying the mass, volume, and function of the right and left ventricles. Due to its high reproducibility, MRI is an excellent means of evaluating ventricular function after treatment. First-pass myocardial perfusion with a paramagnetic contrast agent has become an effective alternative to scintigraphy in the detection of coronary atherosclerosis and can be performed in patients at rest or under pharmacological stress. Delayed contrast-enhanced MRI is used for the identification of areas of fibrosis in the unviable myocardium after infarction (Figure 8) and is a robust method for the study of other non-ischemic heart diseases, such as dilated cardiomyopathy, hypertrophic cardiomyopathy, sarcoidosis, and myocarditis.(59)

Cine MRI and MRA also allow the study of the thoracic aorta and pulmonary arteries, evaluating, for instance, the impact that aortic aneurysm/stenosis and pulmonary hypertension have on cardiac function.
The methods can also be used in the study of heart valve diseases. Cine MRI and MRA can accurately measure the hemodynamic consequences of pericardial diseases, such as constrictive pericarditis, in the heart. Coronary MRA is still considered inferior to multidetector CT; however, coronary MRA can be used in the evaluation of anomalies in the
anatomical configuration of coronary arteries.(60)




Final considerations

The use of MRI in the study of thoracic diseases has been progressively increasing. In the evaluation of mediastinal lesions, chest wall lesions, and superior sulcus tumors, MRI is currently considered the method of choice. Because cardiac MRI allows morphological and functional evaluation in the same test, it is currently part of the clinical routine in the investigation of numerous heart diseases. The development of new techniques of rapid image acquisition using apnea or respiratory and cardiac compensation, HASTE sequences, and 3D GE sequences after the intravenous injection of traditional or novel contrast material has brought major advances in the study of the remaining thoracic structures, including the lung parenchyma and the pulmonary vasculature. In the evaluation of certain diseases, MRA is currently part of the clinical routine, and has played an ever-increasing role in the study of PTE. It is also possible to use MRI to detect pulmonary lesions, and its use in the characterization of airway nodules, masses, and diseases will likely become a rapid, accessible alternative to CT evaluation. Finally, functional studies of pulmonary vascularization (perfusion), as well as of the airways (ventilation and gas exchange), are currently being investigated and will likely become part of the clinical routine.


References


1. Semelka RC, Armao DM, Elias J Jr, Huda W. Imaging strategies to reduce the risk of radiation in CT studies, including selective substitution with MRI. J Magn Reson Imaging. 2007;25(5):900-9.

2. Semelka RC, Cem Balci N, Wilber KP, Fisher LL, Brown MA,
Gomez-Caminero A, et al. Breath-hold 3D gradient-echo MR imaging of the lung parenchyma: evaluation of reproducibility of image quality in normals and preliminary observations in patients with disease. J Magn Reson Imaging. 2000;11(2):195-200.

3. Abujudeh HH, Kosaraju VK, Kaewlai R. Acute adverse reactions to gadopentetate dimeglumine and gadobenate dimeglumine: experience with 32,659 injections. AJR Am J Roentgenol. 2010;194(2):430-4.

4. Elias Jr J, Santos AC, Koenigkam-Santos M, Nogueira-Barbosa MH, Muglia VF. Complicações do uso intravenoso de agentes de contraste à base de gadolínio para ressonância magnética. Radiol Bras. 2008;41(4):263-7

5. Altun E, Martin DR, Wertman R, Lugo-Somolinos A, Fuller ER 3rd, Semelka RC. Nephrogenic systemic fibrosis: change in incidence following a switch in gadolinium agents and adoption of a gadolinium policy--report from two U.S. universities. Radiology. 2009;253(3):689-96.

6. Pooley RA. AAPM/RSNA physics tutorial for residents: fundamental physics of MR imaging. Radiographics. 2005;25(4):1087-99.

7. Karabulut N, Martin DR, Yang M, Tallaksen RJ. MR imaging of
the chest using a contrast-enhanced breath-hold modified three-dimensional gradient-echo technique: comparison with two-dimensional gradient-echo technique and multidetector CT. AJR Am J Roentgenol. 2002;179(5):1225-33.

8. Hatabu H, Gaa J, Tadamura E, Edinburgh KJ, Stock KW, Garpestad E, et al. MR imaging of pulmonary parenchyma with a half-Fourier single-shot turbo spin-echo (HASTE) sequence. Eur J Radiol. 1999;29(2):152-9.

9. Yamashita Y, Yokoyama T, Tomiguchi S, Takahashi M, Ando M. MR imaging of focal lung lesions: elimination of flow and motion artifact by breath-hold ECG-gated and black-blood techniques on T2-weighted turbo SE and STIR sequences. J Magn Reson Imaging. 1999;9(5):691-8.

10. Bilsky MH, Vitaz TW, Boland PJ, Bains MS, Rajaraman V, Rusch VW. Surgical treatment of superior sulcus tumors with spinal and brachial plexus involvement. J Neurosurg. 2002;97(3 Suppl):301-9

11. Bruzzi JF, Komaki R, Walsh GL, Truong MT, Gladish GW, Munden RF, et al. Imaging of non-small cell lung cancer of the superior sulcus: part 2: initial staging and assessment of resectability and therapeutic response. Radiographics. 2008;28(2):561-72.

12. Sakai S, Murayama S, Murakami J, Hashiguchi N, Masuda K. Bronchogenic carcinoma invasion of the chest wall: evaluation with dynamic cine MRI during breathing. J Comput Assist Tomogr. 1997;21(4):595-600.

13. Takenaka D, Ohno Y, Hatabu H, Ohbayashi C, Yoshimura M, Ohkita Y, et al. Differentiation of metastatic versus non-metastatic mediastinal lymph nodes in patients with non-small cell lung cancer using respiratory-triggered short inversion time inversion recovery (STIR) turbo spin-echo MR imaging. Eur J Radiol. 2002;44(3):216-24.

14. Both M, Schultze J, Reuter M, Bewig B, Hubner R, Bobis I, et al. Fast T1- and T2-weighted pulmonary MR-imaging in patients with bronchial carcinoma. Eur J Radiol. 2005;53(3):478-88.

15. Laurent F, Montaudon M, Corneloup O. CT and MRI of Lung Cancer. Respiration. 2006;73(2):133-42.

16. Goehde SC, Hunold P, Vogt FM, Ajaj W, Goyen M, Herborn CU, et al. Full-body cardiovascular and tumor MRI for early detection of disease: feasibility and initial experience in 298 subjects. AJR Am J Roentgenol. 2005;184(2):598-611.

17. Lauenstein TC, Goehde SC, Herborn CU, Goyen M, Oberhoff C, Debatin JF, et al. Whole-body MR imaging: evaluation of patients for metastases. Radiology. 2004 ;233(1):139-48.

18. Vogt FM, Herborn CU, Hunold P, Lauenstein TC, Schröder T, Debatin JF, et al. HASTE MRI versus chest radiography in the detection of pulmonary nodules: comparison with MDCT. AJR Am J Roentgenol. 2004;183(1):71-8.

19. Feuerstein IM, Jicha DL, Pass HI, Chow CK, Chang R, Ling A, et al. Pulmonary metastases: MR imaging with surgical correlation--a prospective study. Radiology. 1992;182(1):123-9.

20. Kersjes W, Mayer E, Buchenroth M, Schunk K, Fouda N, Cagil H. Diagnosis of pulmonary metastases with turbo-SE MR imaging. Eur Radiol. 1997;7(8):1190-4.

21. Gückel C, Schnabel K, Deimling M, Steinbrich W. Solitary pulmonary nodules: MR evaluation of enhancement patterns with contrast-enhanced dynamic snapshot gradient-echo imaging. Radiology. 1996;200
(3):681-6.

22. Ohno Y, Hatabu H, Takenaka D, Adachi S, Kono M, Sugimura K. Solitary pulmonary nodules: potential role of dynamic MR imaging in management initial experience. Radiology. 2002;224(2):503-11.

23. Schaefer JF, Vollmar J, Schick F, Vonthein R, Seemann MD, Aebert H, et al. Solitary pulmonary nodules: dynamic contrast-enhanced MR imaging--perfusion differences in malignant and benign lesions. Radiology. 2004;232(2):544-53.

24. Park KY, Kim SJ, Noh TW, Cho SH, Lee DY, Paik HC, et al. Diagnostic efficacy and characteristic feature of MRI in pulmonary hamartoma: comparison with CT, specimen MRI, and pathology. J Comput Assist Tomogr. 2008;32(6):919-25.

25. Satoh S, Kitazume Y, Ohdama S, Kimula Y, Taura S, Endo Y. Can malignant and benign pulmonary nodules be differentiated with diffusion-weighted MRI? AJR Am J Roentgenol. 2008;191(2):464-70.

26. Xu PJ, Yan FH, Wang JH, Lin J, Ji Y. Added value of breathhold diffusion-weighted MRI in detection of small hepatocellular carcinoma lesions compared with dynamic contrast-enhanced MRI alone using receiver operating characteristic curve analysis. J Magn Reson Imaging. 2009;29(2):341-9.

27. Mori T, Nomori H, Ikeda K, Kawanaka K, Shiraishi S, Katahira
K, et al. Diffusion-weighted magnetic resonance imaging for diagnosing malignant pulmonary nodules/masses: comparison with positron emission tomography. J Thorac Oncol. 2008;3(4):358-64.

28. Möller HE, Chen XJ, Saam B, Hagspiel KD, Johnson GA, Altes TA, et al. MRI of the lungs using hyperpolarized noble gases. Magn Reson Med. 2002;47(6):1029-51.

29. Ley-Zaporozhan J, Ley S, Eberhardt R, Kauczor HU, Heussel CP. Visualization of morphological parenchymal changes in emphysema: comparison of different MRI sequences to 3D-HRCT. Eur J Radiol. 2010;73(1):43-9.

30. Fain SB, Panth SR, Evans MD, Wentland AL, Holmes JH, Korosec FR, et al. Early emphysematous changes in asymptomatic smokers: detection with 3He MR imaging. Radiology. 2006;239(3):875-83.

31. Altes TA, Powers PL, Knight-Scott J, Rakes G, Platts-Mills TA, de Lange EE, et al. Hyperpolarized 3He MR lung ventilation imaging in asthmatics: preliminary findings. J Magn Reson Imaging. 2001;13(3):378-84.

32. Bannier E, Cieslar K, Mosbah K, Aubert F, Duboeuf F, Salhi Z, et al. Hyperpolarized 3He MR for sensitive imaging of ventilation function and treatment efficiency in young cystic fibrosis patients with normal lung function. Radiology. 2010;255(1):225-32.

33. Eibel R, Herzog P, Dietrich O, Rieger CT, Ostermann H, Reiser MF, et al. Pulmonary abnormalities in immunocompromised patients: comparative detection with parallel acquisition MR imaging and thin-section helical CT. Radiology. 2006;241(3):880-91.

34. Bourgouin PM, McLoud TC, Fitzgibbon JF, Mark EJ, Shepard JA, Moore EM, et al. Differentiation of bronchogenic carcinoma from postobstructive pneumonitis by magnetic resonance imaging: histopathologic correlation. J Thorac Imaging. 1991;6(2):22-7.

35. Leutner CC, Gieseke J, Lutterbey G, Kuhl CK, Glasmacher A, Wardelmann E, et al. MR imaging of pneumonia in immunocompromised patients: comparison with helical CT. AJR Am J Roentgenol. 2000;175(2):391-7.

36. Hierholzer J, Luo L, Bittner RC, Stroszczynski C, Schröder RJ, Schoenfeld N, et al. MRI and CT in the differential diagnosis of pleural disease. Chest. 2000;118(3):604-9.

37. Müller NL. Imaging of the pleura. Radiology. 1993;186(2):297-309.

38. Davis SD, Henschke CI, Yankelevitz DF, Cahill PT, Yi Y. MR imaging of pleural effusions. J Comput Assist Tomogr. 1990;14(2):192-8.

39. Falaschi F, Battolla L, Mascalchi M, Cioni R, Zampa V, Lencioni R, et al. Usefulness of MR signal intensity in distinguishing benign from malignant pleural disease. AJR Am J Roentgenol. 1996;166(4):963-8.

40. Ohno Y, Hatabu H, Murase K, Higashino T, Kawamitsu H, Watanabe H, et al. Quantitative assessment of regional pulmonary perfusion in the entire lung using three-dimensional ultrafast dynamic contrast-enhanced magnetic resonance imaging: Preliminary experience in 40 subjects. J Magn Reson Imaging. 2004;20(3):353-65.

41. Nogami M, Ohno Y, Koyama H, Kono A, Takenaka D, Kataoka T, et al. Utility of phase contrast MR imaging for assessment of pulmonary flow and pressure estimation in patients with pulmonary hypertension: comparison with right heart catheterization and echocardiography. J Magn Reson Imaging. 2009;30(5):973-80.

42. Oudkerk M, van Beek EJ, Wielopolski P, van Ooijen PM, Brouwers-Kuyper EM, Bongaerts AH, et al. Comparison of contrast-enhanced magnetic resonance angiography and conventional pulmonary angiography for the diagnosis of pulmonary embolism: a prospective study. Lancet. 2002;359(9318):1643-7.

43. Altun E, Heredia V, Pamuklar E, Zapparoli M, Semelka RC. Feasibility of post-gadolinium three-dimensional gradient-echo sequence to evaluate the pulmonary arterial vasculature. Magn Reson Imaging. 2009;27(9):1198-207.

44. van Beek EJ, Wild JM, Fink C, Moody AR, Kauczor HU, Oudkerk M. MRI for the diagnosis of pulmonary embolism. J Magn Reson Imaging. 2003;18(6):627-40.

45. Hoffmann U, Loewe C, Bernhard C, Weber M, Cejna M, Herold CJ, et al. MRA of the lower extremities in patients with pulmonary embolism using a blood pool contrast agent: initial experience. J Magn Reson Imaging. 2002;15(4):429-37.

46. Nakagawa T, Sakuma H, Murashima S, Ishida N, Matsumura K, Takeda K. Pulmonary ventilation-perfusion MR imaging in clinical patients. J Magn Reson Imaging. 2001;14(4):419-24.

47. Stein PD, Chenevert TL, Fowler SE, Goodman LR, Gottschalk A, Hales CA, et al. Gadolinium-enhanced magnetic resonance angiography for pulmonary embolism: a multicenter prospective study (PIOPED III). Ann Intern Med. 2010;152(7):434-43, W142-3.

48. Kreitner KF, Kunz RP, Ley S, Oberholzer K, Neeb D, Gast KK, et al. Chronic thromboembolic pulmonary hypertension - assessment by magnetic resonance imaging. Eur Radiol. 2007;17(1):11-21.

49. Sanz J, Kuschnir P, Rius T, Salguero R, Sulica R, Einstein AJ, et al. Pulmonary arterial hypertension: noninvasive detection with phase-contrast MR imaging. Radiology. 2007 Apr;243(1):70-9.

50. Schneider G, Uder M, Koehler M, Kirchin MA, Massmann A,
Buecker A, et al. MR angiography for detection of pulmonary arteriovenous malformations in patients with hereditary hemorrhagic telangiectasia. AJR Am J Roentgenol. 2008;190(4):892-901.

51. Sancak T, Cangir AK, Atasoy C, Ozdemir N. The role of contrast enhanced three-dimensional MR angiography in pulmonary sequestration. Interact Cardiovasc Thorac Surg. 2003;2(4):480-2.

52. Mutlu H, Basekim C, Silit E, Pekkafali Z, Ozturk E, Karaman B, et al. Gadolinium-enhanced 3D MR angiography of pulmonary hypoplasia and aplasia. AJR Am J Roentgenol. 2006;187(2):398-403.

53. Obenauer S, Maestre LA. Fetal MRI of lung hypoplasia: imaging findings. Clin Imaging. 2008;32(1):48-50.

54. Sakai F, Sone S, Kiyono K, Kawai T, Maruyama A, Ueda H, et al. MR imaging of thymoma: radiologic-pathologic correlation. AJR Am J Roentgenol. 1992;158(4):751-6.

55. Inaoka T, Takahashi K, Mineta M, Yamada T, Shuke N, Okizaki A, et al. Thymic hyperplasia and thymus gland tumors: differentiation with chemical shift MR imaging. Radiology. 2007;243(3):869-76.

56. Erasmus JJ, McAdams HP, Donnelly LF, Spritzer CE. MR imaging of mediastinal masses. Magn Reson Imaging Clin N Am. 2000;8(1):59-89.

57. Tanaka O, Kiryu T, Hirose Y, Iwata H, Hoshi H. Neurogenic tumors of the mediastinum and chest wall: MR imaging appearance. J Thorac Imaging. 2005;20(4):316-20.

58. Hasegawa I, Eguchi K, Kohda E, Tanami Y, Mori T, Hatabu H, et al. Pulmonary hilar lymph nodes in lung cancer: assessment with 3D-dynamic contrast-enhanced MR imaging. Eur J Radiol. 2003;45(2):129-34.

59. Earls JP, Ho VB, Foo TK, Castillo E, Flamm SD. Cardiac MRI: recent progress and continued challenges. J Magn Reson Imaging. 2002;16(2):111-27.

60. Marcu CB, Beek AM, van Rossum AC. Clinical applications of cardiovascular magnetic resonance imaging. CMAJ. 2006;175(8):911-7.



* Study carried out at the Center for Imaging Sciences and Medical Physics, Hospital das Clínicas da Faculdade de Medicina de Ribeirão Preto, Universidade de São Paulo - HC-FMRP-USP, University of São Paulo at Ribeirão Preto School of Medicine Hospital das Clínicas - Ribeirão Preto, Brazil.
Correspondence to: Marcel Koenigkam Santos. CCIFM - HCFMRPUSP, Avenida Bandeirantes, 3900, Campus Universitário Monte Alegre, CEP 14048-900, Ribeirão Preto, SP, Brasil.
Tel 55 16 3602-2640. E-mail: marcelk46@yahoo.com.br
Financial support: None.
Submitted: 3 May 2010. Accepted, after review: 3 September 2010.



About the authors

Marcel Koenigkam Santos
Attending Radiologist. Hospital das Clínicas da Faculdade de Medicina de Ribeirão Preto, Universidade de São Paulo - HC-FMRP-USP, University of São Paulo at Ribeirão Preto School of Medicine Hospital das Clínicas - Ribeirão Preto, Brazil.

Jorge Elias Júnior
Professor. Radiology Section of the Department of Clinical Medicine, Faculdade de Medicina de Ribeirão Preto, Universidade de São Paulo - FMRP-USP, University of São Paulo at Ribeirão Preto School of Medicine - Ribeirão Preto, Brazil.

Fernando Marum Mauad
Attending Radiologist. Hospital das Clínicas da Faculdade de Medicina de Ribeirão Preto, Universidade de São Paulo - HC-FMRP-USP, University of São Paulo at Ribeirão Preto School of Medicine Hospital das Clínicas - Ribeirão Preto, Brazil.

Valdair Francisco Muglia
Professor. Radiology Section of the Department of Clinical Medicine, Faculdade de Medicina de Ribeirão Preto, Universidade de São Paulo - FMRP-USP, University of São Paulo at Ribeirão Preto School of Medicine - Ribeirão Preto, Brazil.

Clóvis Simão Trad
Professor Emeritus. Radiology Section of the Department of Clinical Medicine, Faculdade de Medicina de Ribeirão Preto, Universidade de São Paulo - FMRP-USP, University of São Paulo at Ribeirão Preto School of Medicine - Ribeirão Preto, Brazil.

Indexes

Development by:

© All rights reserved 2025 - Jornal Brasileiro de Pneumologia