Continuous and bimonthly publication
ISSN (on-line): 1806-3756

Licença Creative Commons
17502
Views
Back to summary
Open Access Peer-Reviewed
Case Series

Laryngotracheobronchial papillomatosis: findings on computed tomography scans of the chest

Papilomatose laringotraqueobrônquica: aspectos em tomografia computadorizada de tórax

Edson Marchiori, Cesar de Araujo Neto, Gustavo Souza Portes Meirelles, Klaus Loureiro Irion, Gláucia Zanetti, Israel Missrie, Juliana Sato

ABSTRACT

Abstract Objective: To present the findings of computed tomography (CT) scans of the chest in patients with laryngotracheobronchial papillomatosis. Methods: We retrospectively analyzed CT scans of eight patients, five males and three females, ranging from 5 to 18 years of age with a mean age of 10.5 years. Images were independently reviewed by two radiologists. In discrepant cases, a consensus was reached. Results: The most common CT findings were intratracheal polypoid lesions and pulmonary nodules, many of which were cavitated. Conclusions: In patients with laryngotracheobronchial papillomatosis, the most common tomographic finding was the combination of intratracheal polypoid lesions and multiple pulmonary nodules, many of which were cavitated.

Keywords: Tomography, X-ray computed; Papilloma; Tracheal neoplasms.

RESUMO

Objetivo: Apresentar os achados em tomografia computadorizada (TC) de tórax em pacientes com papilomatose laringotraqueobrônquica. Métodos: Foram estudadas, retrospectivamente, as TCs de oito pacientes, cinco masculinos e três femininos, com idades variando de 5 a 18 anos, com média de 10,5 anos. Os exames foram analisados por dois radiologistas, de forma independente, e as decisões finais foram obtidas por consenso. Resultados: Os achados mais comuns nas TCs foram as lesões nodulares da traquéia e os nódulos pulmonares, muitos com escavação. Conclusões: O aspecto tomográfico mais freqüentemente observado nos casos de papilomatose laringotraqueobrônquica foi a associação de lesões polipóides de traquéia com múltiplos nódulos pulmonares, vários deles escavados.

Palavras-chave: Tomografia computadorizada por raios X; Papiloma; Neoplasias da traquéia.

Introduction

Recurrent respiratory papillomatosis, previously known as childhood laryngeal papillomatosis is typically a benign and self-limiting disease.(1) It is caused by infection of the upper respiratory tract with the human papillomavirus (HPV),(2,3) resulting in the formation of papillomas, which are the most common benign tumors occurring in the respiratory tract during childhood.(4,5) Although the disease is more common in children, it can also occur in adults.(3) It is typically restricted to the larynx but can also invade the tracheobronchial tree and the pulmonary ­parenchyma­.­(5,6) Central airway involvement is seen in 2% to 5% of patients with laryngeal papillomas, whereas small airway or alveolar involvement occurs in less than 1%.(3,7) The disseminated form is also known as laryngotracheobronchial papillomatosis.

The definitive diagnosis of laryngotracheobronchial papillomatosis is made based on the results of transbronchial biopsy (bronchoscopy) of laryngeal or tracheal lesions, although the diagnosis can be suspected on the basis of computed tomography (CT) findings. Here, we present the tomographic aspects observed in eight patients with laryngotracheobronchial papillomatosis.

Methods

This was a retrospective study analyzing CT scans of the chest related to eight patients diagnosed with laryngotracheobronchial papillomatosis at five medical facilities in three Brazilian states (Rio de Janeiro, São Paulo and Bahia). Five patients were male, and 3 were female. Ages ranged from 5 to 18 years (mean, 10.5 years). In all of the cases, the diagnosis had been made some years prior based on findings of papillomas in the upper airways. Five of the eight patients had been less than two years old at the time of diagnosis. All of the patients had undergone multiple previous resections In the four cases in which the resections had been quantified, the number ranged from 15 to 40 (mean, 25). In one patient, malignant degeneration, to squamous cell carcinoma, was reported.

The most common clinical complaint was hoarseness, which occurred in six cases. Other findings included bronchospasm (in two), dyspnea (in two), recurrent respiratory infections (in two), respiratory failure (in two), dry cough (in one) and purulent expectoration (in one). Seven of the eight patients had been submitted to tracheostomy, at some point during the evolution of the disease, to remove the obstruction.

In all cases, the CT scans were performed when the patients presented involvement of the upper airways, especially of the larynx. Seven patients had presented tracheal and pulmonary involvement; one had presented tracheal involvement alone.

The CT scans of the chest were performed using different various tomography scanners, axial slices ranging from 5 to 10 mm in thickness, in 10-mm increments, during a deep inhalation, from the apices to the lung bases. Some patients were also submitted to high-resolution CT, with slices of 1 mm or 2 mm in thickness. Tests were performed using a parenchymal window, with a width of 1,000‑1,500 Hounsfield units (HU) and a center between −500 and −750 HU. Tests were also performed using a mediastinal window, with a width of 350-400 HU and a center between 40 and 60 HU.

The HRCT analysis was performed by two independent observers, and discordant results were resolved by consensus. The study included the assessment of lesions in the trachea or main bronchi, as well as of accompanying parenchymal lesions.

Results

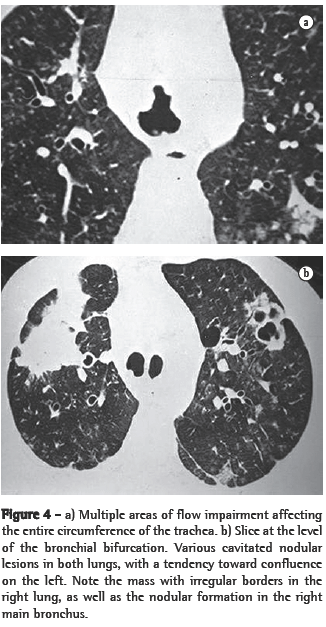
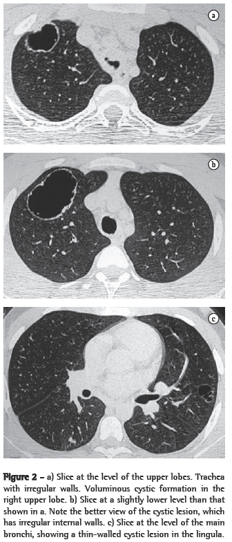
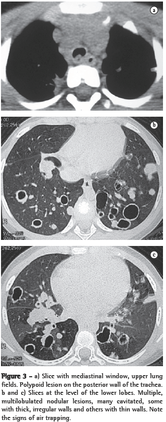
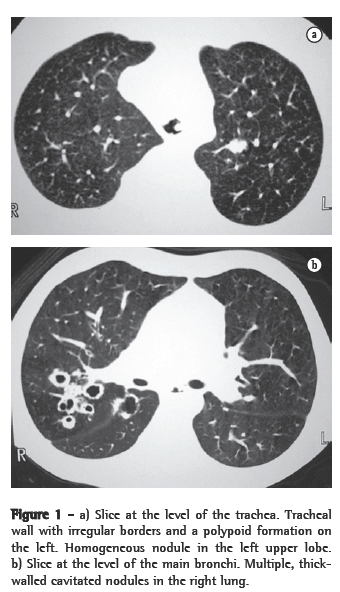
In all eight cases, the CT scans revealed polypoid formations in the trachea. In one case, injury to one of the main bronchi was identified. Seven patients presented involvement of the pulmonary parenchyma. In all eight cases, there were cavitated polypoid lesions, with irregular internal borders and walls of various thicknesses, multilobulated in six cases and presenting confluence of the lesions in five (Figures 1 through 5). Solid nodules were seen in six patients. An air-fluid level was observed in only one patient. The lesions were predominantly in the lung bases in three patients and in the middle thirds in two, whereas they were evenly distributed in two. In one patient, the lesions were accompanied by a mass, and, in another patient, they were accompanied by consolidation. In the latter case (Figure 5), there was malignant degeneration in multiple lesions. Signs of air trapping were also observed in one case. There were no identified instances of lymph node enlargement or pleural effusion.












Discussion

Laryngotracheobronchial papillomatosis is a rare, benign disease in children and is even more rarely seen in adults. The histological presentation is benign squamous epithelial stratification, and the disease is typically restricted to the larynx. However, it can occasionally become aggressive, resulting in persistent or recurrent involvement of the nasopharynx, larynx and tracheobronchial tree. Dissemination to the pulmonary parenchyma occurs in less that 1% of cases. Such dissemination can occur years after the diagnosis of laryngeal papilloma.(4) There have been no reports of the disease affecting the tracheobronchial tree without prior upper airway involvement.(7) All of the patients evaluated in the present study had been diagnosed years earlier through tracheobronchial biopsy (via bronchoscopy).

The etiological agent of laryngotracheobronchial papillomatosis is HPV,(1,4-6) which is a virus that presents great genetic variation, various types and subtypes having been genetically defined.­(4) The types most often associated with laryngotracheobronchial papillomatosis are HPV-6 and HPV-11, followed by HPV-16 and HPV-18. These last two types have more often been associated with malignant transformation, particularly with transformation to squamous cell carcinoma.(4-7) Infection occurs most frequently at birth and is related to passage through the birth canal in mothers with vulvar papillomatosis ­lesions­.­(1-4,7) However, infection can also occur later in life, possibly by sexual transmission (oral contact with infected external genitalia).(3,7)

The forms of laryngotracheobronchial papillomatosis are classified as childhood or adult. The childhood form occurs in patients less than 20 years of age, presenting multiple lesions that are unpredictable in terms of their response to treatment, and the rates of recurrence tend to be high. In this population, solitary papillomas are rare. Among adults, (patients over 20 years of age at diagnosis), the disease is more common in men, and the papillomas are typically solitary, present a high degree of inflammatory reactivity, do not usually disseminate and recur less frequently than those seen in the childhood form.(6) Various hypotheses have been formulated in order to explain distal dissemination of laryngeal papillomatosis: contiguous spread; diffuse viral contamination; multicentric origin of the papillomas; and canalicular dissemination of fragments.(2,3,6) Iatrogenic factors, such as laryngoscopy, bronchoscopy, tracheostomy and surgical manipulation can also cause dissemination of papillomas to the distal portion of the tracheobronchial tree.(6,7) In our study, seven patients had undergone tracheostomy, at some point during the evolution of the disease, in order to remove an obstruction.

In children, the clinical profile characteristic of laryngeal papillomatosis is the triad of progressive hoarseness, stridor and difficulty in breathing. In adults, hoarseness is the most common finding.­(6) In the trachea, the most common symptoms frequently mimic obstructive pulmonary diseases such as asthma and chronic pulmonary obstructive disease, which can impede the diagnosis and lead to errors in the treatment strategy.(6,8) The physical examination can reveal wheezing, stridor, tachypnea and accessory muscle recruitment during ­respiration­.­(8)

Peripheral dissemination can lead to recurrent pneumonia, as well as obstructive atelectasis and malignant degeneration. Clinical symptoms can include fever, cough, hemoptysis and progressive dyspnea.(2,8) In our sample, the most common symptom was hoarseness.

The ideal method for diagnosing lesions in the central airways is bronchoscopy, which makes it possible to obtain biopsy samples of such lesions in order to perform histopathological evaluation and to plan therapeutic interventions.(8) In most cases, laryngotracheobronchial papillomatosis is easily diagnosed, since the pulmonary presentation is typically preceded by a rich clinical history and a previous diagnosis of laryngeal papillomatosis.­(4,6) In the bronchoscopy, the papillomas are seen as whitish polypoid lesions in the larynx, trachea or bronchi.(3)

Bronchoscopy remains the diagnostic method of choice, since it is both diagnostic and therapeutic, allowing the resection of the lesions, which can then be submitted to anatomopathological study.

Chest X-rays can occasionally produce findings suggestive of the disease, such as the combination of solid or cavitated pulmonary nodules and vegetative nodular lesions in the trachea or in the main bronchi. Unlike the pulmonary nodules, which are often identified on simple chest X-rays, intralumen papillomas in the trachea or bronchi are rarely visible on X-rays.(4) In practice, therefore, the disease is rarely diagnosed on the basis of chest X-ray findings. The nodules are typically multiple, well defined, of various dimensions, cavitated and thick-walled, being more numerous in the basal and posterior lung regions.(3,4) The cavitated nodules can be air-filled or, when infected, can present an air-fluid level.(4)

Chest X-rays are inferior to CT scans of the chest, especially those performed using spiral CT (volumetric acquisition), in the initial phases of pulmonary dissemination, due to the fact that CT better characterizes and allows better visualization of nodular tracheobronchial vegetation, Tomographic findings include focal or diffuse airway narrowing caused by the nodules. The nodules form on the mucosal surface, and their invasion into the lumen is best evaluated using CT.(3) These alterations are easily correlated with the disease when there is a clinical history of papillomatosis.(4) Other findings related to airway obstruction and accompanying infections are atelectasis, consolidations, air trapping and bronchiectasis.(2-4) In our sample, polypoid formations in the trachea were observed on all of the CT scans Seven patients presented involvement of the pulmonary parenchyma, characterized by cavitated polypoid lesions with irregular internal borders and walls of various thicknesses, with a multilobulated aspect and a tendency toward confluence. Solid nodules were seen in six patients. None of the patients presented lymph node enlargement or pleural effusion.

Papillomas appear as masses or nodules (single or multiple) that are exophytic (sessile or pedunculated), soft and friable, most often seen on the vocal cords, ventricular folds, subglottis and laryngeal surface of the epiglottis.(6) Histologically, papillomas present as projections of the stratified squamous epithelium with fibrovascular centers. Hyperplasia of basal cells and large vacuolated epithelial cells with clear cytoplasm are typical findings.(6,7) When the lesion invades the tracheobronchial tree, the epithelium can be squamous or ciliated and cylindrical.(6) The pulmonary lesions are foci of squamous epithelium that grow circumferentially within the alveoli, depending on them for vascularization.

Near the central portion of a solid or cavitated lesion, there are areas necrosis and regeneration, containing fragments. In the periphery, squamous cells invade the adjacent alveoli by direct extension of of the principal cell mass, lymphocytes and macrophages being identified in the alveolar content. These cells grow, coalesce and destroy the parenchyma, forming cavities.(4)

Malignant degeneration to squamous cell carcinoma is reported in 1% to 10% of all cases of laryngotracheobronchial papillomatosis,(3,4) typically occurring after radiotherapy or chemotherapy with bleomycin, as well as in patients with a history of smoking.(1,6) It can occur in childhood or even decades after the diagnosis of benign papillomas.­(4) In most cases, it occurs in patients having previously presented dissemination of the disease to the tracheobronchial tree. Malignant degeneration rarely occurs in patients with the laryngeal form of the disease.(2,5) In one of the cases evaluated here, there was malignant degeneration reported based on biopsy findings in three different lesions.

Small lesions provoking minimal symptoms can be treated with corticosteroids and antibiotics. Larger, symptomatic lesions extirpated through bronchoscopic procedures such as curettage, laser ablation, electrocautery and cryosurgery, surgical intervention (thoracotomy or sternotomy) rarely being necessary.(8) Radiotherapy, autogenic vaccination and chemotherapy have proven unsuccessful.­(3,6) Antiviral therapy has also been employed.(3) None of the various treatment protocols has been shown to be truly efficacious.(1,4) Recurrence of papillomas is common, regardless of the treatment given. In practice, it is necessary to submit such patients to frequent bronchoscopic
examinations.

This disease takes on greater importance due to the severity of its evolution and the fact that it affects children and adolescents, resulting in considerable morbidity and having a profound impact on patient quality of life, requiring multiple surgical excisions and tracheostomies; the prognosis is unfavorable, and the disease can even evolve to death.(4)

Although the diagnosis is typically made in childhood, based on a finding
of papillomas in the upper airways, a subsequent finding of intratracheal polypoid lesions, with or without pulmonary nodules (cavitated or not), should raise the suspicion of the disease.

References

1. Rady PL, Schnadig VJ, Weiss RL, Hughes TK, Tyring SK. Malignant transformation of recurrent respiratory papillomatosis associated with integrated human papillomavirus type 11 DNA and mutation of p53. Laryngoscope. 1998;108(5):735-40.

2. Chang CH, Wang HC, Wu MT, Lu JY. Virtual bronchoscopy for diagnosis of recurrent respiratory papillomatosis. J Formos Med Assoc. 2006;105(6):508-11.

3. Prince JS, Duhamel DR, Levin DL, Harrell JH, Friedman PJ. Nonneoplastic lesions of the tracheobronchial wall: radiologic findings with bronchoscopic correlation. Radiographics. 2002;22 Spec No:S215-30. Erratum in: Radiographics. 2003;23(1):191.

4. Araújo Neto CA, Campos RM, Bastos ML. Papilomatose respiratória recorrente com disseminação pulmonar - relato de dois casos. Radiol Bras. 2002;35(2):117-120.

5. Wilde E, Duggan MA, Field SK. Bronchogenic squamous cell carcinoma complicating localized recurrent respiratory papillomatosis. Chest. 1994;105(6):1887-8.

6. Rad MH, Alizadeh E, Ilkhanizadeh B. Recurrent laryngeal papillomatosis with bronchopulmonary spread in a 70-year-old man. Tuberk Toraks. 2007;55(3):299-302.

7. Franzmann MB, Buchwald C, Larsen P, Balle V. Tracheobronchial involvement of laryngeal papillomatosis at onset. J Laryngol Otol. 1994;108(2):164-5.

8. Baldi BG, Fernandes CJ, Salge JM, Takagaki TY. Tracheal polyp. J Bras Pneumol. 2007;33(5):616-20.


* Study carried out in the Radiology Departments of the Fluminense Federal University, Niterói, Brazil, the Federal University of Rio de Janeiro, Rio de Janeiro,
Brazil, the Federal University of Bahia, Salvador, Brazil, and the Federal University of São Paulo, São Paulo, Brazil, as well as of the Royal Liverpool and Broadgreen
University Hospitals, Liverpool, England.
1. Full Professor. Radiology Department. Fluminense Federal University, Niterói, Brazil.
2. Assistant Professor of Radiology. Federal University of Bahia, Salvador, Brazil.
3. Federal University of São Paulo, São Paulo, Brazil.
4. Consulting Thoracic Radiologist. The Royal Liverpool and Broadgreen University Hospitals, Liverpool, England.
5. Professor of Clinical Medicine. Petrópolis School of Medicine, Petrópolis , Brazil.
6. Physician. Department of Diagnostic Imaging. Federal University of São Paulo, Paulista School of Medicine, São Paulo, Brazil.
7. Resident. Department of Otorhinolaryngology and Head and Neck Surgery. Federal University of São Paulo, São Paulo, Brazil.
Correspondence to: Edson Marchiori. Rua Thomaz Cameron, 438, Valparaiso, CEP 25685-120, Petrópolis, RJ, Brasil.
Tel 55 21 2629-9076. E-mail: edmarchiori@gmail.com
Financial support: None.
Submitted: 23 March 2008. Accepted, after review: 25 April 2008.

Indexes

Development by:

© All rights reserved 2025 - Jornal Brasileiro de Pneumologia