ABSTRACT
Schistosomiasis is a disease that, in Brazil, is caused by Schistosoma mansoni and is transmitted by snails of the genus Biomphalaria. This species occurs in Africa, the Antilles and South America. The parasite, developing to the adult stage in the vascular system of the host, migrates to the mesenteric veins. Each female lays approximately 400 eggs per day, and these travel from the submucosa to the intestinal lumen. There have been reported cases in which S. mansoni eggs were identified in the lungs of patients with no evidence of liver fibrosis. We report a case with this atypical presentation of the disease. The patient presented nonpleuritic chest pain, significant weight loss and dry cough. A CT scan revealed an irregular tumor in the left lower lobe. However, a lung biopsy revealed non-viable S. mansoni eggs. The patient presented no clinical signs of pulmonary or portal hypertension; nor was either identified through diagnostic tests.
Keywords:
Schistosomiasis; Schistosoma mansoni; Lung diseases, parasitic.
RESUMO
A esquistossomose é uma doença que, no Brasil, é causada pelo Schistosoma mansoni e transmitida através da água por moluscos do gênero Biomphalaria. Essa espécie ocorre na África, nas Antilhas e na América do Sul. O parasita, ao atingir a fase adulta de seu ciclo biológico no sistema vascular do homem, alcança as veias mesentéricas. Cada fêmea põe cerca de 400 ovos por dia, e estes, a partir da submucosa, chegam à luz intestinal. Há relatos de casos a respeito de ovos de S. mansoni nos pulmões de pacientes sem evidência de fibrose hepática. Relatamos um caso dessa forma atípica de apresentação da doença. O paciente apresentava dor torácica não-ventilatório-dependente, perda ponderal significativa e tosse seca. A TC de tórax mostrou uma tumoração irregular no lobo inferior esquerdo, mas somente a biópsia pulmonar evidenciou ovos de S. mansoni degenerados. O paciente não apresentava sinais clínicos de hipertensão pulmonar ou portal, as quais tampouco foram diagnosticadas através de exames.
Palavras-chave:
Esquistossomose; Schistosoma mansoni; Pneumopatias parasitárias.
IntroductionSchistosomiasis is one of the most prevalent infectious diseases in the world.(1) Brazil is one of the major zones of distribution of the disease, not only in terms of the number of patients but also in terms of the severity presented by some of those.
In Brazil, the agent of schistosomiasis is Schistosoma mansoni.(2) Human beings are infected through contact with water containing the infecting forms. The adult worms live in the mesenteric vessels and lay eggs daily. The granuloma formed in response to the presence of the eggs in the tissues leads to classic complications, such as thickening of the intestine wall, periportal fibrosis of the liver and portal or pulmonary hypertension, as well as complications during the migration of the larval forms, such as Loeffler's syndrome. Pulmonary symptoms of schistosomiasis can include dyspnea and dry cough. Progression to pulmonary hypertension occurs in some cases. Since atypical pulmonary forms, such as the pseudoneoplastic form, are rare, they pose difficulty for the differential diagnosis. However, schistosomiasis should be considered in the presence of pulmonary conditions, principally in endemic areas.(3) The objective of this study was to present a rare case of pulmonary schistosomiasis mimicking lung cancer and occurring in an endemic region.
Case reportA 50 year-old commercial representative from Montes Claros, Brazil, a smoker (35 pack-years), reported having had a mild wrenching pain in the left hemithorax for two years, daily and continuously; the pain irradiated to the back and worsened with movements of the thorax and physical effort and improved with the use of common analgesics and when in the prone position. The patient reported sporadic moments in which the intensity of the pain worsened and was relieved with potent analgesics and anti-inflammatory agents. However, in the six days prior to seeking medical treatment at our health care facility, the patient began to experience pain that was more intense. He had presented occasional dry cough since the onset of the condition. He also reported a 10-kg weight loss since the onset of the pain. He reported no fever. He reported frequently fishing in rivers and lakes. The physical examination revealed no alterations. The patient had no history of disease.
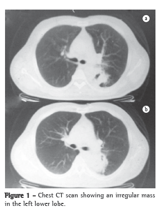
He was initially evaluated as a cardiology patient, due to suspected acute coronary syndrome, which was ruled out through electrocardiography, echocardiography and testing for cardiac enzymes. Therefore, the differential diagnoses were considered. The blood workup showed few eosinophils (2%; 130 cells). A chest X-ray and CT scan of the chest revealed an irregular mass in the upper segment of the left lower lobe, involving the left main bronchus, without involvement of the lymph nodes (Figure 1). Fiberoptic bronchoscopy with transbronchial biopsy revealed no alterations in the bronchial tree. The anatomopathological examination result was normal. Initially, we attempted to rule out TB and pulmonary mycoses. Tests for TB bacillus and fungi in the bronchoalveolar lavage (BAL) were negative, as was the BAL culture for TB and other bacteria. We then opted for thoracoscopy and biopsy. The histopathological examination of the material revealed the following: lung tissue with pronounced fibrosis and intense chronic inflammatory process; multiple granulomas with central areas of suppuration, containing numerous eosinophils; various multinucleated giant cells of foreign-body type and rare non-viable S. mansoni eggs; fibrin deposition; and areas of anthracosis/hemosiderosis (Figure 2).


Subsequently, in view of the diagnosis of pulmonary schistosomiasis, an abdominal ultrasound was performed and showed only hepatic steatosis. Parasitological stool examination results using the Kato-Katz method were negative. Endoscopy of the upper digestive tract was normal.
Subsequently, praziquantel was prescribed.
However, due to the intense inflammatory process and to the involvement of the pulmonary lobe, the patient was submitted to open lobectomy.
Preoperative spirometry showed no obstructive or restrictive disorders.
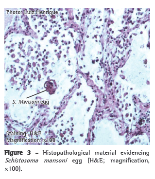
The macroscopic analysis revealed a darkened pulmonary lobe which measured 15.0 × 11.0 × 6.0 cm and weighing 50 g; upon dissection, soft, pasty, yellowish-white areas with firm points. The microscopy findings were consistent with the findings of the previous biopsy: non-viable S. mansoni eggs (Figure 3).

The symptoms improved after the patient recovered from the surgical procedure.
DiscussionSchistosomiasis is characterized by an initial stage, generally unnoticed, and a chronic stage, in which severe forms can appear, evidenced, principally, by portal hypertension and its complications, as well as by the involvement of the nervous system.(4)
The disease is seen in the Near East, Africa and South America. Infected humans eliminate the S. mansoni eggs in natural waters via contaminated urine and feces. Snails, intermediate hosts, ingest the eggs, which subsequently go through many multiplication cycles. Those are then eliminated in the water as cercariae, the infective form. This form is able to penetrate human skin or, if ingested, the intestinal mucosa. People commonly become infected while swimming in contaminated water.(1)
The fishing habit of the patient described here was probably the cause of his contamination. After penetrating the skin, the cercariae transform into young forms known as schistosomula. The schistosomula migrate to the lung and, later, to the liver. Subsequently, the adult forms migrate in groups to the venules of their final habits: the mesenteric veins. Most eggs are excreted. The few remaining eggs cause granulomatous reaction in the host tissues. This reaction is the cause of the symptoms of
schistosomiasis.(1)
The respiratory symptoms can be acute; they are intense and transitory, or chronic, and can result from pulmonary hypertension and cor pulmonale. More than 25% of the patients with portal hypertension present pulmonary involvement; however, only 5% present pulmonary hypertension or cor pulmonale.
In the acute form, pulmonary involvement is due to the presence of the schistosomula in the pulmonary circulation, leading to a hypersensitivity reaction. The patient usually presents fever, the most common sign, which can be associated with cutaneous signs of urticaria (Katayama fever) in 25% of the cases. The fever is of variable duration, generally lasting up to three weeks, and can be accompanied by hepatosplenomegaly. Cough with mucoid expectoration or hemoptysis and dyspnea are signs of pulmonary involvement.(2) However, in endemic areas, the acute phase can go unnoticed.(4) Therefore, the lack of such symptoms in the patient described here is explained by the fact that he lived in an endemic region.
The chronic form of the disease occurs when some eggs are retained in the lungs after passing to the venous circulation through the anomalous collateral circulation (intrahepatic shunt).(2) The egg causes necrotizing arteriolitis, which destroys the tunica intima of the vessels and leads to vascular obliteration. The multiplication of similar lesions leads to pulmonary hypertension. The death of adult worms in the lungs can lead to "pneumonia due to adult worms". Pseudoneoplastic forms present an intense neoformation of connective tissue and, frequently, a great amount of calcified eggs and granulomas.(4)
The chronic pulmonary forms can have the following presentation: subclinical, chronic miliary, pulmonary arterial hypertension with or without cor pulmonale as well as rare forms (with hemoptysis, pseudoneoplastic form and pseudotuberculosis).(5)
Subclinical presentation occurs in 60% of the cases. The patient presents no symptoms; however, pulmonary function tests reveal a restrictive disorder and, in some cases, an obstructive disorder.
Miliary forms radiographically express a classic pattern of interstitial infiltrate due to schistosomal granuloma formation. The tomography study evidences a nodular aspect or calcifications in the lung parenchyma. In these cases, the patient can present dry cough and dyspnea.
Pulmonary hypertension and cor pulmonale are more frequently observed in Brazil and Egypt. The clinical symptoms are generally dyspnea, chest pain, digital clubbing and hyperphonesis of the second heart sound.
During the assessment, the electrocardiogram, chest X-ray and CT scan of the chest revealed signs of right cardiac overload and pulmonary hypertension.
Among the rare forms, in Brazil, one case of recurrent hemoptysis has been described. In Egypt, there was a report of a case with a 6-cm lesion in the left lower lobe, with manifestations of chest pain and hemoptysis.(5)
The pseudoneoplastic presentation has been described in some case reports.(5,6)
The differential diagnosis should include benign and malignant tumors, as well as infectious diseases that can produce tumors, such as TB, paracoccidioidomycosis, histoplasmosis, cryptococcosis and aspergillosis.(4) This rare clinical form was the one that best fit our case report. Due to the similarity in presentation, with the negative culture results for TB bacillus and fungi, and the fact that the patient presented risk factor for lung cancer, our diagnostic reasoning lead to the confirmation of that pathology.
Diagnosis can be made through direct or indirect methods. Stool examination using the Kato-Katz method presents good results for testing for parasite eggs. However, when the parasite burden is light, the examination must be repeated. Rectal biopsy shows eggs, from which, according to the maturation stage, the time since the eggs were laid can be deduced. In chronic schistosomiasis, without portal hypertension, rectal biopsy presents approximately 80% positivity, whereas the parasitological examination presents approximately 50%. A negative rectal biopsy result does not rule out the diagnosis. Cases in which the lung biopsy revealed the diagnosis have been reported.(1) In the view of these atypical cases, principally when there is simulation of cancer, the diagnosis tends to be confirmed only through lung biopsy.
Indirect methods, such as intradermal reaction and serologic tests, are more widely used in low-prevalence regions.(4)
The specific treatment can be carried out using antimonial drugs such as oxamniquine and praziquantel. However, resistance to oxamniquine treatment has been observed.(4) There is no data in relation to the effect of the drug in pulmonary disease. However, there are many arguments in favor of the treatment. The side effects of the drug are mild, and the treatment kills the adult worm, eliminating egg-laying, thus halting the progression of the disease.(1) Our option for the treatment aimed at interrupting the progression of the disease, since the patient did not present involvement of other organs.
In relation to control, although rectal biopsy is a good method for evaluating the cure, repeated stool examinations present better results.(4)
Sanitation, hygiene education and treatment of the patients are the most efficacious factors in the control of the disease.(2) Studies have been carried out in the Oswaldo Cruz Institute in order to develop vaccines.(7)
The case reported shows the need to consider schistosomiasis in the differential diagnosis of lung tumors seen in imaging studies, since Brazil is among the countries with the highest prevalence of the disease.
References 1. Schwartz E. Pulmonary schistosomiasis. Clin Chest Med. 2002;23(2):433-43.
2. Pereira LH. Schistosoma mansoni. In: Neves DP, editor. Parasitologia Humana. São Paulo: Atheneu; 2005. p. 212-37.
3. Abdulla MA, Hombal SM, al-Juwaiser A. Detection of Schistosoma mansoni in bronchoalveolar lavage fluid. A case report. Acta Cytol. 1999;43(5):856-8.
4. Prata A. Esquistossomose Mansoni. In: Veronesi R, Focaccia R. Tratado de Infectologia. São Paulo: Atheneu; 2005. p.1697-1722.
5. Klotz F, Hovette P, Mbaye PS, Fall F, Thiam M, Cloatre G. Pulmonary manifestations of schistosomiasis [Article in French]. Rev Pneumol Clin. 1998;54(6):353-8.
6. al-Fawaz IM, al-Rasheed SA, al-Majed SA, Ashour M. Schistosomiasis associated with a mediastinal mass: case report and review of the literature. Ann Trop Paediatr. 1990;10(3):293-7.
7. Nascimento E, Leão IC, Pereira VR, Gomes YM, Chikhlikar P, August T, et al. Protective immunity of single and multi-antigen DNA vaccines against schistosomiasis. Mem Inst Oswaldo Cruz. 2002;97 Suppl 1:105-9.
Study conducted in the Department of Pulmonology, Clemente de Farias University Hospital, Montes Claros, Brazil.
Correspondence to: Gisane Cavalcanti Rodrigues. Av. Cula Mangabeira, 562, Santo Expedito, CEP 39401-002, Montes Claros, MG, Brasil.
Tel 55 38 3224-8373. E-mail: gisanecr@yahoo.com.br
Submitted: 17 July 2008. Accepted, after review: 29 September 2008.
About the authors
Gisane Cavalcanti Rodrigues
Resident in Clinical Medicine. Clemente de Farias University Hospital, Montes Claros, Brazil.
Domício Carvalho Lacerda
Resident in Clinical Medicine. Clemente de Farias University Hospital, Montes Claros, Brazil.
Edson da Silva Gusmão
Pathologist. Clemente de Farias University Hospital, Montes Claros, Brazil.
Fernando Antônio Colares
Pulmonologist. Clemente de Farias University Hospital, Montes Claros, Brazil.
Vinícius Turano Mota
Thoracic Surgeon. Department of Thoracic Surgery, Clemente de Farias University Hospital, Montes Claros, Brazil.