Continuous and bimonthly publication
ISSN (on-line): 1806-3756

Licença Creative Commons
13263
Views
Back to summary
Open Access Peer-Reviewed
Original Article

Tomografia de coerência óptica broncoscópica

Optical coherence tomography in conjunction with bronchoscopy

Ascedio José Rodrigues, Celso Kiyochi Takimura, Pedro Alves Lemos Neto, Viviane Rossi Figueiredo

ABSTRACT

Objective: To evaluate the diagnostic accuracy of bronchoscopy in patients with clinical or radiological suspicion of tuberculosis who were unable to produce sputum or with negative sputum smear microscopy results. Methods: A prospective cross-sectional study involving 286 patients under clinical or radiological suspicion of having pulmonary tuberculosis and submitted to bronchoscopy-BAL and transbronchial biopsy (TBB). The BAL specimens were submitted to direct testing and culture for AFB and fungi, whereas the TBB specimens were submitted to histopathological examination. Results: Of the 286 patients studied, 225 (79%) were diagnosed on the basis of bronchoscopic findings, as follows: pulmonary tuberculosis, in 127 (44%); nonspecific chronic inflammation, in 51 (18%); pneumocystis, fungal infections, or nocardiosis, in 20 (7%); bronchiolitis obliterans organizing pneumonia, alveolites, or pneumoconiosis, in 14 (5%); lung or metastatic neoplasms, in 7 (2%); and nontuberculous mycobacterium infections, in 6 (2%). For the diagnosis of tuberculosis, BAL showed a sensitivity and a specificity of 60% and 100%, respectively. Adding the TBB findings significantly increased this sensitivity (to 84%), as did adding the post-bronchoscopy sputum smear microscopy results (total sensitivity, 94%). Minor post-procedure complications occurred in 5.6% of the cases. Conclusions: Bronchoscopy is a reliable method for the diagnosis of pulmonary tuberculosis, with low complication rates. The combination of TBB and BAL increases the sensitivity of the method and facilitates the differential diagnosis with other diseases.

Keywords: Bronchoscopy; Tuberculosis, pulmonary; Sputum; Bronchoalveolar lavage; Biopsy.

RESUMO

Objetivo: Avaliar a viabilidade e o potencial do uso da tomografia de coerência óptica em conjunto com um broncoscópio convencional na avaliação das vias aéreas. Métodos: Estudo piloto baseado em um modelo experimental ex vivo com três animais: um coelho adulto da raça Nova Zelândia e dois suínos da raça Landrace. Um cateter de imagem de tomografia de coerência óptica foi inserido no canal de trabalho de um broncoscópio flexível para alcançarmos a traqueia distal dos animais. As imagens foram obtidas sistematicamente em toda a traqueia ao longo das paredes, partindo da porção distal para a proximal. Resultados: O cateter de imagem se adaptou com facilidade ao canal de trabalho do broncoscópio. Imagens em alta resolução de cortes transversais da traqueia foram obtidas em tempo real, sendo delineadas microestruturas, tais como epitélio, submucosa, cartilagem e camada adventícia nas paredes anteriores e laterais da traqueia. As camadas correspondentes do epitélio, mucosa e cartilagens foram claramente diferenciadas. Na parede posterior, foi possível identificar mucosa, submucosa e musculatura traqueal. Conclusões: O uso de tomógrafo de coerência óptica em conjunto com um broncoscópio flexível é viável. A tomografia de coerência óptica produz imagens de alta resolução que permitem visualizar a microanatomia da traqueia, inclusive estruturas que normalmente são visualizadas somente na histologia convencional.

Palavras-chave: Tomografia de coerência óptica; Traqueia; Broncoscopia; Microscopia; Técnicas de diagnóstico do sistema respiratório.

Introdução

Optical coherence tomography (OCT, tomografia de coerência óptica) é uma técnica diagnóstica de imagem não invasiva, relativamente nova e promissora, que oferece imagens em alta resolução da secção transversal de tecidos vivos complexos. Suas imagens são geradas em tempo real e permitem visualizar estruturas celulares e extracelulares até 3 mm abaixo da superfície, com uma resolução espacial que varia de 1-20 µm, se aproximando do nível histológico convencional.(1,2)

O equipamento diagnóstico de OCT possui um mecanismo análogo ao de ultrassom no modo B, utilizando luz na região do infravermelho, com base em diodo superluminescente, no comprimento de onda de 1.300 nm, ao invés de onda sonora. A luz pode ser emitida ao tecido por um cateter de imagem flexível com diâmetro aproximado de 1,5 mm. O princípio de operação da OCT é a interferometria de baixa coerência. Nessa técnica, a luz é dividida em duas partes: uma refletida (de referência) e outra que será direcionada para o tecido. O interferômetro é capaz de detectar e analisar o padrão de interferência gerada entre a luz refletida e a luz retroespalhada em diferentes profundidades do tecido. O padrão de interferência criado pelos dois feixes de luz é recombinado e decodificado, formando uma imagem transversal óptica de alta resolução.(3,4)

O procedimento é indolor e não requer contato entre os instrumentos e o tecido. Não há a necessidade de injeção de contraste endovenoso ou de corantes tópicos, e a radiação ionizante não é utilizada.(1)

O uso de OCT permite medidas de tecidos biológicos com resolução 20 vezes maior que a do ultrassom (10 µ vs. 200 µ).(5)

As imagens são exibidas em um monitor em tempo real, aparecendo como lâminas de microscopia em preto e branco, a taxas de dez quadros por segundo.(6)

A OCT pode ter uma gama de usos potenciais em situações nas quais a tomada de imagens em alta resolução de alguma superfície seja pertinente. A OCT é amplamente utilizada em diagnósticos oftalmológicos da retina e em doenças oftalmológicas, como a degeneração macular, as retinopatias e o glaucoma.(7) Sua utilização vem crescendo em várias áreas, tais como em dermatologia,(8) cirurgia cardiovascular,(9) doenças do trato gastrointestinal e doenças do trato pancreatobiliar.(10)

Há relativamente poucos estudos com foco em OCT na avaliação do trato respiratório. As sondas flexíveis da OCT podem ser utilizadas em conjunto com a broncoscopia convencional, sendo passadas pelo canal de trabalho do aparelho sem a necessidade de adaptadores, facilitando o uso dessa tecnologia e proporcionando enormes e imediatas contribuições para a geração de imagens em alta resolução na detecção e na avaliação de doenças pulmonares.(11)

O objetivo do presente estudo foi avaliar a viabilidade e o potencial do uso da OCT em conjunto com um broncoscópio convencional na avaliação das vias aéreas, utilizando um modelo experimental ex vivo.

Métodos

Este foi um estudo baseado em um modelo experimental ex vivo com três animais: um coelho adulto da raça Nova Zelândia e dois suínos da raça Landrace.

Foram utilizados um aparelho de OCT (LightLab Imaging Inc., Westford, MA, EUA) com um cateter para imagem flexível de 1 mm de diâmetro (Imagewire; LightLab Imaging), um broncoscópio flexível padrão adulto (modelo P20D; Olympus Optical, Tóquio, Japão) e um broncoscópio flexível infantil (modelo BF 3C10; Olympus Optical).

Os animais foram posicionados em decúbito dorsal. Foi realizada a passagem de um broncoscópio de 3,6 mm com canal de trabalho de 1,2 mm pela via oral do coelho e, no caso dos suínos, de um broncoscópio de 5,1 mm com canal de trabalho de 2,0 mm. Os pulmões não estavam sob ventilação mecânica. Assim que o brônquio fonte direito foi identificado, o cateter de OCT de 1,0 mm era inserido através do canal de trabalho até que a extremidade distal do cateter atingisse a via aérea. O cateter foi posicionado em traqueia distal, tracionado lentamente até a subglote e, posteriormente, reinserido até a traqueia distal, reiniciando o processo. A aquisição de imagens trans-endotraqueais foi realizada com a aproximação direta da sonda de OCT na superfície interna da traqueia, com visualização das imagens em tempo real em um monitor, que apareciam como lâminas de microscopia de cor vermelha e preta, a taxas de aproximadamente dez quadros por segundo. O procedimento foi filmado, e a OCT era realizada sistematicamente ao longo de toda a traqueia. Os arquivos de vídeo foram posteriormente transferidos para um banco de dados no qual as imagens fotográficas digitais foram capturadas e catalogadas.

Resultados

A passagem do cateter flexível de OCT através do canal de trabalho não causou dificuldades. Foi possível alocar o cateter na posição desejada sob visão direta broncoscópica em toda a extensão da árvore respiratória central.

Não foi necessário o contato do cateter com a superfície da via aérea para que se estabelecesse a imagem correspondente. Movimentos suaves e regulares garantiram uma qualidade satisfatória das imagens. Quanto mais próximo o cateter estava da superfície da traqueia, sem a tocar efetivamente, mais nítidas eram as imagens.

O formato das imagens em seção transversal, muito semelhante ao das obtidas por ultrassonografia, apresentou boa resolução até aproximadamente 2 mm.

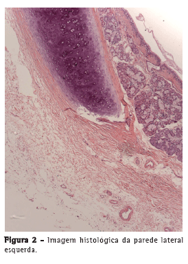
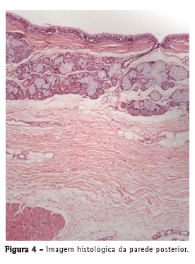
A OCT foi capaz de delinear, em tempo real, microestruturas, tais como epitélio, submucosa, cartilagem e camada adventícia (Figura 1) das paredes anteriores e laterais da traqueia de forma semelhante às imagens histológicas (Figura 2). Na parede posterior, as camadas correspondentes à mucosa, submucosa e musculatura traqueal foram claramente diferenciadas na OCT (Figura 3) e condizentes com a imagem histológica (Figura 4).










Discussão

A OCT permitiu a identificação, em tempo real, de microestruturas, tais como epitélio, submucosa, cartilagem e camada adventícia nas paredes anteriores e laterais da traqueia. Na parede posterior, foi possível identificar mucosa, submucosa e musculatura traqueal.

A OCT é uma nova técnica de imagem que tem gerado grande interesse porque é não invasiva, permite uma avaliação em tempo real, tem resolução espacial maior que a da tomografia e do ultrassom e prescinde da exposição à radiação ionizante ou do uso de contrastes endovenosos.

O funcionamento da OCT é análogo ao do ultrassom, embora a OCT faça uso do processamento eletrônico da intensidade de retroespalhamento de luz infravermelha a fim de construir uma imagem topográfica do tecido. As vantagens da OCT em relação ao ultrassom incluem ter um maior potencial de resolução de imagem, prescindir de contato físico com o tecido (sem o uso de balão de soro fisiológico), além do fato de que as imagens são obtidas através do tubo orotraqueal, tornando desnecessária a extubação do paciente.(3)

A imagem produzida é um corte transversal tecidual, com resolução que se aproxima à microscopia de luz, e alguns autores a denominam "biópsia óptica". Ao contrário do ultrassom, ondas de luz não necessitam do meio líquido para uma melhor transmissão e, portanto, são mais compatíveis com as vias aéreas. Durante a realização de OCT, não é necessário sequer tocar o tecido com o cateter para a obtenção de imagens, como observamos em nosso estudo. Não há riscos associados à exposição à luz infravermelha.

A OCT é um procedimento não invasivo. No entanto, sua utilização em conjunto com a broncoscopia convencional envolve anestesia tópica com lidocaína e sedação consciente, apresentando os mesmos riscos da broncoscopia propriamente dita. Por isso, o termo "minimamente invasivo" é mais adequado.

Os resultados satisfatórios obtidos no presente estudo demonstram que a integração da OCT com a broncoscopia convencional é exequível, como demonstrado previamente.(12) A passagem do cateter de OCT pelo canal de trabalho do broncoscópio dispensou adaptações.

Nossos resultados mostraram que a OCT foi capaz de gerar imagens de alta resolução da mucosa, submucosa, cartilagem e camada adventícia traqueais, incluindo microestruturas, como epitélio e pericôndrio, prescindindo de contato entre o cateter e a traqueia, dados esses compatíveis com os da literatura.(5,13)

A OCT pode ser realizada em poucos minutos como parte de um exame broncoscópico convencional. Além disso, durante o mesmo procedimento, a realização de lavado broncoalveolar, biópsia endobrônquica e inspeção dinâmica são possíveis.

Entre as desvantagens da técnica está a relação inversa entre a resolução e a profundidade de imagem, ou seja, quanto maior for a resolução, menor será a profundidade da imagem adquirida. Além disso, a profundidade de alcance ainda é pequena (aproximadamente 3 mm), e o cateter de imagem é bastante frágil e tem diâmetro reduzido, o que exige cuidado extremo na sua manipulação.(4,5,14)

Vários estudos clínicos estão sendo conduzidos com o intuito de verificar a utilidade da OCT para caracterizar o tecido normal e diferenciar doenças. A oftalmologia é a especialidade médica que mais se utiliza da OCT, que é uma ferramenta valiosa no diagnóstico e no acompanhamento clínico de edema macular, neovascularização de coroide e alterações relacionadas ao glaucoma.(15) A OCT também tem sido investigada por outras áreas médicas, tais como cardiologia, gastroenterologia,(16) mastologia,(17) pneumologia, urologia(18) e otorrinolaringologia.(19)

Em virtude de sua alta resolução de imagem em tempo real, sem a exposição à radiação, além de sua compatibilidade com a broncoscopia, a OCT tem potencial para se tornar uma poderosa ferramenta em futuras pesquisas pulmonares.(20) A visualização, de forma minimamente invasiva, da anatomia do tecido fornece informações importantes para o diagnóstico e o manejo clínico de uma vasta gama de doenças.

Inúmeras aplicações da OCT podem ser vislumbradas na medicina pulmonar e na cirurgia torácica, com o potencial de aumentar substancialmente a precisão e a exatidão das atuais técnicas diagnósticas por broncoscopia (Quadro 1). Essas aplicações incluem a avaliação de lesões das vias aéreas por inalação,(2) a avaliação de anastomose e de pequenas vias aéreas no transplante pulmonar, a condução de biópsias endobrônquicas,(21) a mensuração das dimensões de estenose traqueobrônquica,(20) a avaliação da microanatomia normal e do espessamento das pequenas vias aéreas e da musculatura lisa na asma,(22) na DPOC,(23) na fibrose cística e em tabagistas,(24,25) assim como a avaliação antes e após a realização de termoplastia brônquica(26) e o auxílio no dimensionamento dos brônquios no tratamento endoscópico do enfisema com válvulas unidirecionais.(27)



No câncer de pulmão, a OCT tem sido utilizada na diferenciação da mucosa normal das lesões pré-neoplásicas. Três grupos de autores(28-30) estudaram as árvores traqueobrônquicas de pacientes com suspeita de neoplasia e compararam as imagens obtidas por OCT às de biópsias dos locais suspeitos e concluíram que a OCT, além de ser bem tolerada, foi capaz de diferenciar o tecido normal do tecido com infiltração neoplásica, sugerindo que a OCT poderá ser uma técnica coadjuvante no diagnóstico precoce de lesões neoplásicas.

Coxson e Lam(1) mediram as dimensões da árvore brônquica de 44 pacientes fumantes utilizando TCAR de tórax com reconstrução e OCT associada à broncoscopia e concluíram que houve uma boa correlação entre as medidas realizadas pelas duas técnicas, mas que a OCT apresentou uma maior acurácia na detecção de espessamento e de remodelamento da parede brônquica naquele grupo de pacientes. Os autores sugeriram que a OCT com broncoscopia pode ser promissora no estudo das alterações da via aérea em pacientes com DPOC. Outros autores(12,24) também compararam o uso da OCT + broncoscopia com a TC na mensuração da via aérea e obtiveram resultados acurados, sugerindo o uso da OCT no estudo do remodelamento em pacientes asmáticos.

No futuro, estudos mais abrangentes sobre a aplicação da OCT e broncoscopia na avaliação do aparelho respiratório são necessários para a otimização do método, objetivando a potencial distinção entre lesões benignas e malignas, a correlação das alterações microanatômicas identificadas pelo exame clínico, a comparação das imagens de OCT com as de histologia convencional e o aprimoramento de seu uso na pesquisa de patologias pulmonares.

Esta experiência inicial, na forma de um estudo piloto, com um número limitado de animais e utilizando um modelo ex vivo, nos impediu de tirarmos conclusões além das capacidades da obtenção de imagens em alta resolução da traqueia e da viabilidade do uso da OCT em conjunto com a broncoscopia comum. No entanto, este foi um primeiro passo para futuros estudos mais aprofundados que utilizem modelos experimentais in vivo.

O procedimento possui uma curva de aprendizagem similar à de outras técnicas broncoscópicas. O posicionamento do cateter de imagem deve ser cuidadoso, e o conhecimento da anatomia respiratória é essencial. Os movimentos devem ser coordenados e leves para que a qualidade da imagem não seja comprometida. A semelhança das imagens obtidas por OCT com as adquiridas por ultrassom endobrônquico é óbvia, sendo a principal diferença entre essas a melhor resolução das estruturas obtidas na OCT. A análise e a interpretação das imagens obtidas requerem um conhecimento prévio básico de histologia.

Um grupo de autores(20) avaliou estenoses traqueais benignas após a intubação de pacientes com a utilização de ultrassom endobrônquico e OCT na tentativa de encontrar alterações que orientassem o melhor tratamento. A OCT alcançou uma resolução de 25 µm contra 100 µm do ultrassom endobrônquico radial de 20 MHz, que necessitava de uma interface líquida para que as imagens fossem adquiridas (balão com água). Apesar de uma resolução quatro vezes maior, a OCT atingiu uma profundidade de 1,7 mm, e os autores concluíram que os dois métodos foram complementares e que o uso de ambas as tecnologias necessita de maiores estudos.

Baseado nos presentes achados experimentais, concluímos que a OCT é um método de imagem minimamente invasivo, viável, seguro e capaz de fornecer dados estruturais da microanatomia da via aérea central. Futuros estudos devem ser realizados para que essa tecnologia possa ser validada para o uso na investigação das vias respiratórias de seres humanos.

Referências

1. Coxson HO, Lam S. Quantitative assessment of the airway wall using computed tomography and optical coherence tomography. Proc Am Thorac Soc. 2009;6(5):439-43. PMid:19687216. PMCid:2731804. http://dx.doi.org/10.1513/pats.200904-015AW

2. Yin J, Liu G, Zhang J, Yu L, Mahon S, Mukai D, et al. In vivo early detection of smoke-induced airway injury using three-dimensional swept-source optical coherence tomography. J Biomed Opt. 2009;14(6):060503. PMid:20059234. PMCid:2801726. http://dx.doi.org/10.1117/1.3268775

3. Ridgway JM, Su J, Wright R, Guo S, Kim DC, Barretto R, et al. Optical coherence tomography of the newborn airway. Ann Otol Rhinol Laryngol. 2008;117(5):327-34. PMid:18564528. PMCid:2871770.

4. Fujimoto JG. Optical coherence tomography for ultrahigh resolution in vivo imaging. Nat Biotechnol. 2003;21(11):1361-7. PMid:14595364. http://dx.doi.org/10.1038/nbt892

5. Han S, El-Abbadi NH, Hanna N, Mahmood U, Mina-Araghi R, Jung WG, et al. Evaluation of tracheal imaging by optical coherence tomography. Respiration. 2005;72(5):537-41. PMid:16210894. http://dx.doi.org/10.1159/000087680

6. Saba OI, Hoffman EA, Reinhardt JM. Maximizing quantitative accuracy of lung airway lumen and wall measures obtained from X-ray CT imaging. J Appl Physiol. 2003;95(3):1063-75. PMid:12754180.

7. Yoo C, Eom YS, Suh YW, Kim YY. Central corneal thickness and anterior scleral thickness in Korean patients With Open-angle glaucoma: an anterior segment optical coherence tomography study. J Glaucoma. 2011;20(2):95-9. PMid:20577104. http://dx.doi.org/10.1097/IJG.0b013e3181dde051

8. Gambichler T, Jaedicke V, Terras S. Optical coherence tomography in dermatology: technical and clinical aspects. Arch Dermatol Res. 2011;303(7):457-73. PMid:21647692. http://dx.doi.org/10.1007/s00403-011-1152-x

9. Picchi A, Micheli A, Limbruno U. Images in cardiology. The traumatic effect of balloon dilatation on neointimal hyperplasia: what we did not see before optical coherence tomography. Heart. 2011;97(3):265-6. PMid:21036803. http://dx.doi.org/10.1136/hrt.2010.211185

10. Hwang JH, Cobb MJ, Kimmey MB, Li X. Optical coherence tomography imaging of the pancreas: a needle-based approach. Clin Gastroenterol Hepatol. 2005;3(7 Suppl 1):S49-52. http://dx.doi.org/10.1016/S1542-3565(05)00259-4

11. Thiberville L, Salaün M. Bronchoscopic advances: on the way to the cells. Respiration. 2010;79(6):441-9. PMid:20431326. http://dx.doi.org/10.1159/000313495

12. Williamson JP, Armstrong JJ, McLaughlin RA, Noble PB, West AR, Becker S, et al. Measuring airway dimensions during bronchoscopy using anatomical optical coherence tomography. Eur Respir J. 2010;35(1):34-41. PMid:19541718. http://dx.doi.org/10.1183/09031936.00041809

13. Jung W, Zhang J, Mina-Araghi R, Hanna N, Brenner M, Nelson JS, et al. Feasibility study of normal and septic tracheal imaging using optical coherence tomography. Lasers Surg Med. 2004;35(2):121-7. PMid:15334615. http://dx.doi.org/10.1002/lsm.20072

14. Drexler W. Ultrahigh-resolution optical coherence tomography. J Biomed Opt. 2004;9(1):47-74. PMid:14715057. http://dx.doi.org/10.1117/1.1629679

15. Dinc UA, Kulacoglu DN, Oncei B, Yalvac IS. Quantitative assessment of anterior chamber parameters in pigmentary glaucoma using slit-lamp optical coherence tomography. Eur J Ophthalmol. 2010;20(4):702-7. PMid:20099232.


16. Sorbara L, Maram J, Bizheva K, Hutchings N, Simpson TL. Case report: Chalazion and its features visualized by ultrahigh resolution optical coherence tomography. Cont Lens Anterior Eye. 2011;34(2):87-91. PMid:21094077. http://dx.doi.org/10.1016/j.clae.2010.10.008

17. Iftimia NV, Mujat M, Ustun T, Ferguson RD, Danthu V, Hammer DX. Spectral-domain low coherence interferometry/optical coherence tomography system for fine needle breast biopsy guidance. Rev Sci Instrum. 2009;80(2):024302. PMid:19256665. PMCid:2736644. http://dx.doi.org/10.1063/1.3076409

18. Karl A, Stepp H, Willmann E, Buchner A, Hocaoglu Y, Stief C, et al. Optical coherence tomography for bladder cancer -- ready as a surrogate for optical biopsy? Results of a prospective mono-centre study. Eur J Med Res. 2010;15(3):131-4. PMid:20452899. http://dx.doi.org/10.1186/2047-783X-15-3-131

19. Just T, Lankenau E, Prall F, Hüttmann G, Pau HW, Sommer K. Optical coherence tomography allows for the reliable identification of laryngeal epithelial dysplasia and for precise biopsy: a clinicopathological study of 61 patients undergoing microlaryngoscopy. Laryngoscope. 2010;120(10):1964-70. PMid:20824740. http://dx.doi.org/10.1002/lary.21057

20. Murgu SD, Colt HG, Mukai D, Brenner M. Multimodal imaging guidance for laser ablation in tracheal stenosis. Laryngoscope. 2010;120(9):1840-6. PMid:20593421. http://dx.doi.org/10.1002/lary.21047

21. Mahmood U, Hanna NM, Han S, Jung WG, Chen Z, Jordan B, et al. Evaluation of rabbit tracheal inflammation using optical coherence tomography. Chest. 2006;130(3):863-8. PMid:16963687. http://dx.doi.org/10.1378/chest.130.3.863

22. de Carvalho-Pinto RM, Cukier A, Angelini L, Antonangelo L, Mauad T, Dolhnikoff M, et al. Clinical characteristics and possible phenotypes of an adult severe asthma population. Respir Med. 2012;106(1):47-56. PMid:21890336. http://dx.doi.org/10.1016/j.rmed.2011.08.013

23. Stirbulov R, Lundgren FL. Pharmacological treatment of COPD. J Bras Pneumol. 2011;37(4):419-21. PMid:21881729. http://dx.doi.org/10.1590/S1806-37132011000400001

24. Williamson JP, James AL, Phillips MJ, Sampson DD, Hillman DR, Eastwood PR. Quantifying tracheobronchial tree dimensions: methods, limitations and emerging techniques. Eur Respir J. 2009;34(1):42-55. PMid:21881729. http://dx.doi.org/10.1590/S1806-37132011000400001

25. Dias-Júnior SA, Pinto RC, Angelini L, Fernandes FL, Cukier A, Stelmach R. Prevalence of active and passive smoking in a population of patients with asthma. J Bras Pneumol. 2009;35(3):261-5. PMid:19390725.

26. Rubin AS, Cardoso PF. Bronchial thermoplasty in asthma. J Bras Pneumol. 2010;36(4):506-12. PMid:20835600. http://dx.doi.org/10.1590/S1806-37132010000400018

27. Galluccio G, Lucantoni G. Bronchoscopic lung volume reduction for pulmonary emphysema: preliminary experience with a new NOVATECH endobronchial silicone one-way valve. Interact Cardiovasc Thorac Surg. 2010;11(2):213-5. PMid:20439298. http://dx.doi.org/10.1510/icvts.2010.236398

28. Tsuboi M, Hayashi A, Ikeda N, Honda H, Kato Y, Ichinose S, et al. Optical coherence tomography in the diagnosis of bronchial lesions. Lung Cancer. 2005;49(3):387-94. PMid:15922488. http://dx.doi.org/10.1016/j.lungcan.2005.04.007

29. Michel RG, Kinasewitz GT, Fung KM, Keddissi JI. Optical coherence tomography as an adjunct to flexible bronchoscopy in the diagnosis of lung cancer: a pilot study. Chest. 2010;138(4):984-8. PMid:20472863. http://dx.doi.org/10.1378/chest.10-0753

30. Lam S, Standish B, Baldwin C, McWilliams A, leRiche J, Gazdar A, et al. In vivo optical coherence tomography imaging of preinvasive bronchial lesions. Clin Cancer Res. 2008;14(7):2006-11. PMid:18381938. PMCid:2849640. http://dx.doi.org/10.1158/1078-0432.CCR-07-4418



* Trabalho realizado no Serviço de Endoscopia Respiratória, Disciplina de Pneumologia, Instituto do Coração, Hospital das Clínicas, Faculdade de Medicina da Universidade de São Paulo, São Paulo (SP) Brasil.
Endereço para correspondência: Ascedio José Rodrigues. Serviço de Endoscopia Respiratória HC-FMUSP, Prédio dos Ambulatórios, 6º Andar, Bloco 3, Avenida Dr. Enéas de Carvalho Aguiar, 255, Cerqueira César, CEP 05017-000, São Paulo, SP, Brasil.
Tel. 55 11 2661-5612. E-mail: ascedio@gmail.com
Apoio financeiro: Nenhum.
Recebido para publicação em 19/9/2011. Aprovado, após revisão, em 30/1/2012.


Sobre os autores

Ascedio José Rodrigues
Médico Assistente. Serviço de Endoscopia Respiratória, Disciplina de Pneumologia, Instituto do Coração, Hospital das Clínicas, Faculdade de Medicina da Universidade de São Paulo, São Paulo (SP) Brasil.

Celso Kiyochi Takimura
Médico. Serviço de Hemodinâmica, Instituto do Coração, Hospital das Clínicas, Faculdade de Medicina da Universidade de São Paulo, São Paulo (SP) Brasil.

Pedro Alves Lemos Neto
Professor Livre-Docente. Faculdade de Medicina da Universidade de São Paulo, São Paulo (SP) Brasil.

Viviane Rossi Figueiredo
Diretora Técnica. Serviço de Endoscopia Respiratória, Disciplina de Pneumologia, Instituto do Coração, Hospital das Clínicas, Faculdade de Medicina da Universidade de São Paulo, São Paulo (SP) Brasil.

Indexes

Development by:

© All rights reserved 2025 - Jornal Brasileiro de Pneumologia