Continuous and bimonthly publication
ISSN (on-line): 1806-3756

Licença Creative Commons
18989
Views
Back to summary
Open Access Peer-Reviewed
Case Report

Pneumotorax e pneumopericárdio hipertensivo em cirurgia cardiotorácica

Pneumothorax and tension pneumopericardium following cardiothoracic surgery

Rui Haddad, Carlos Eduardo Teixeira Lima, Carlos Henrique Boasquevisque, Guilherme Saraiva Haddad, Tadeu Diniz Ferreira

ABSTRACT

Herein, we report two cases of pneumothorax and tension pneumopericardium after cardiothoracic surgery. Both patients underwent pericardiotomy during the primary operation and developed pericardial tamponade as a complication. The treatment was tube thoracostomy, and both patients recovered completely.

Keywords: Pneumopericardium/etiology; Pneumothorax/etiology; Thoracic surgical procedures/adverse effects; Postoperative complications

RESUMO

São apresentados dois casos de pacientes com pneumotorax e pneumopericárdio hipertensivo, em pós-operatório de cirurgia cardiotorácica. Ambos tiveram abertura do pericárdio como um dos tempos cirúrgicos da operação inicial e apresentaram sintomas de tamponamento pericárdico como complicação. O tratamento foi uma drenagem pleural nos dois casos, que evoluíram para resolução do processo.

Palavras-chave: Pneumopericário/etiologia; Pneumotórax/etiologia; Procedimentos cirúrgicos torácicos/efeitos adversos; Complicações pós-operatórias

INTRODUÇÃO

O pneumopericárdio é definido como um acúmulo de ar ou gás no saco pericárdico. O pneumopericárdio hipertensivo é uma complicação rara, sendo que há poucos casos publicados na literatura. Ele é definido como um pneumopericárdio suficientemente grande para causar restrição diastólica e os sintomas característicos. As causas do pneumopericárdio incluem trauma torácico, ventilação mecânica (principalmente em crianças), propagação de doenças em órgãos contíguos, cirurgia cardio-torácica, infecção e pericardiocentese.(1) O pneumopericárdio hipertensivo é uma condição aguda e ameaçadora à vida que deve ser reconhecida de imediato e tratada para que se obtenha um desfecho favorável.

Caso 1
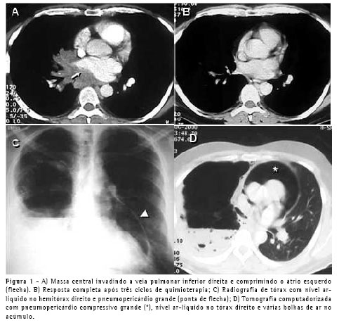
Um paciente do sexo masculino, com 40 anos, apresentando fibrilação atrial consultou um cardiologista. Ele não era tabagista e suas radiografias de tórax mostraram adenopatia hilar no lobo inferior direito. A tomografia computadorizada (TC) revelou uma massa central invadindo a veia pulmonar inferior e comprimindo o átrio esquerdo (Figura 1A). Uma lesão endobrônquica foi vista no brônquio lobar inferior direito e fez-se uma biopsia. Os resultados foram compatíveis com carcinoma neuroendócrino de grandes células. O paciente foi submetido a três ciclos de quimioterapia à base de cisplatina e a radioterapia. As TCs subseqüentes (Figura 1B) e exames broncoscópicos revelaram uma resposta altamente positiva ao tratamento Ele foi submetido a uma pneumonectomia direita radical incluindo uma porção do contorno do átrio esquerdo (primeira margem de ressecção positiva na altura da veia pulmonar inferior) e do pericárdio para-hilar. O defeito pericárdico foi enxertado com pericárdio bovino e um orifício de 2 cm foi deixado na linha de sutura para permitir que fluidos ou ar pudessem sair livremente do saco pericárdico. O paciente recebeu alta no quinto dia de um pós-operatório curto e sem intercorrências. Dez dias depois, ele retornou ao hospital apresentando hipotensão postural e dor subesternal constante. A radiografia de tórax mostrou pneumopericárdio (Figure 1C), confirmado na TC, que também revelou múltiplas bolsas de ar e nível ar-líquido no espaço pleural, sugerindo fístula bronco-pleural (Figura 1D). Ele foi internado no hospital, um tubo torácico (36Fr) foi inserido no espaço pleural direito, e a broncoscopia mostrou uma pequenina (1.0 mm) fístula no coto brônquico. Não havia sinais ou sintomas de infecção e o líquido pleural estava claro, com menos do que 300 células, das quais 80% eram eosinófilos. O paciente não apresentou fuga aérea intra-operatória ou pós-operatória através do tubo torácico. Os antibióticos foram dados, e a evolução foi excelente. O tubo torácico foi retirado no décimo dia pós-operatório. O pneumopericárdio sintomático desapareceu imediatamente após uma drenagem pleural e não houve nenhum empiema ou outras complicações.





Caso 2
Um paciente do sexo masculino, com 64 anos, apresentando doença pulmonar obstrutiva crônica foi submetido a enxerto bypass de artéria coronária (EBAC) com anastomose de artéria mamária interna direita. Na unidade de terapia intensiva, duas horas após a extubação, ele apresentou pneumotórax espontâneo à esquerda, o qual foi controlado através da inserção de um cateter pigtail 14 Fr, após o quê o paciente melhorou. Porém, dois dias depois, ele apresentou desconforto respiratório e um segundo pneumotórax foi visto apesar do fato de que o cateter pigtail havia permanecido na cavidade pleural e encontrava-se desobstruído. Um segundo cateter pigtail foi inserido em posição anterior.
O problema foi resolvido, e os cateteres foram removidos. No dia seguinte, o paciente apresentou hipotensão, taquicardia e dispnéia. Por motives técnicos, não foi possível realizar um ecocardiograma. A TC mostrou um pneumotórax anterior esquerdo e um pneumopericárdio grande (Figura 2). Um tubo torácico 32 Fr foi inserido na cavidade pleural esquerda, e o problema foi totalmente resolvido. O paciente também foi submetido a uma pleurodese com talco em suspensão. A mesma solução simples (drenagem pleural) foi usada neste segundo caso.





DISCUSSÃO

O pneumopericárdio hipertensivo na ausência de trauma torácico ou ventilação mecânica é uma entidade incomum. Ele geralmente envolve comunicação entre o pericárdio e a árvore traqueo-broônquica ou o aparelho digestivo. Quando não há comunicação entre o saco pericárdico e a cavidade pleural, o tratamento de escolha é a drenagem pericárdica. Quando tal comunicação existe, a inserção de tubo torácico é preferível.
Em pacientes submetidos a ressecção pulmonar intrapericárdica, o principal fator etiológico para pneumopericárdio hipertensivo é a fístula bronco-pleural, embora esta possa ser associada a pneumotórax ou a barotrauma decorrente de cirurgia cardíaca. As causas comuns de pneumopericárdio são trauma torácico penetrante, ventilação mecânica (barotrauma), propagação de doenças em órgãos contíguos, cirurgia cardio-torácica, procedimentos invasivos (pericardiocentese), infecção e comunicação anormal entre as vias aéreas e o pericárdio.(1) Nos dois casos aqui apresentados, os pacientes foram submetidos a procedimentos diferentes, mas ambos tiveram comunicação anormal entre as vias aéreas e o saco pericárdico associada a complicações pós-operatórias. Ambos os pacientes apresentaram pneumotórax, no primeiro caso, causada por uma pequena fístula bronco-pleural e, no segundo, causada por uma fístula alvéolo-pleural resultante de um barotrauma pós-EBAC. De fato, Capizzi et al.(2) encontrou associação entre pneumotórax e pneumopericárdio hipertensivo em aproximadamente 87,5% dos casos avaliados. É importante ressaltar que o pneumopericárdio é mais prevalente em situações de não-trauma nas quais é necessário um suporte respiratório maior, tais como na síndrome do desconforto respiratório agudo ou no suporte respiratório neonatal.(3) É também importante diferenciar o pneumopericárdio e o pneumomediastino, especialmente quando o pneumopericárdio é pequeno. Um indicador muito interessante, o sinal da cúpula diafragmática esquerda contínua, foi relatado em um caso de pneumopericárdio(4) e pode ajudar no diagnóstico. Benedik et al.(5) relatou um caso de tamponamento pneumopericárdico em pós-operatório de cirurgia bypass arterial coronariana. Os autores descobriram que a condição estava associada à ruptura de bolhas no saco pericárdico (as aderências evitaram um pneumotórax concomitante) e a trataram usando toracotomia de emergência. Kim et al.(6) publicou um caso de pneumopericárdio e pneumotórax causado pela ruptura de um tumor pulmonar cancerígeno no saco pericárdico. Brandenhoff et al.(7) publicou dois casos de pneumopericárdio ocorridos após ressecção pulmonar, sendo que um deles era um caso de pneumopericárdio hipertensivo. Ambos os pacientes haviam estado sob suporte ventilatório prolongado e apresentaram fuga aérea anterior ao pneumopericárdio. Os autores trataram ambos os casos com toracotomia e abertura do pericárdio.
Stuklis et al.(8) publicou um caso de pneumopericárdio hipertensivo após lobectomia média que foi tratado usando a mesma técnica simples empregada em nossos dois casos, drenagem pleural.

CONCLUSÃO

A deterioração hemodinâmica aguda em pacientes com pneumotórax ou que necessitam de ventilação mecânica deve instigar uma investigação mais aprofundada e o tamponamento cardíaco deve ser ativamente excluído. Em casos de pneumopericárdio hipertensivo nos quais não há evidência de comunicação entre o saco pericárdico e a pleura, uma pericardiocentese de emergência ou drenagem deve ser feita. Contudo, se há tal evidência, uma drenagem pleural é indicada.

REFERÊNCIAS

1. Boyce SH, Corfield AR, McGuffie AC, Stevenson J, Rawlings D. Spontaneous tension pneumopericardium. Eur J Emerg Med. 2004; 11(3):181-4.
2. Capizzi PJ, Martin M, Bannon MP. Tension pneumopericardium following blunt injury. J Trauma. 1995; 39(4):775-80. Review.
3. Clouse WD, Dent DL, Stewart RM, Gray GA. Tension pneumopericardium from blunt chest trauma. Contemp Surg. 2003; 59(6):271-5.
4. Brander L, Ramsay D, Dreier D, Peter M, Graeni R. Continuous left hemidiaphragm sign revisited: a case of spontaneous pneumopericardium and literature review. Heart [serial on the Internet]. 2002; [cited 2005 Sep 17]: 88(4): [about 5p.]. Available from. http://www.heartjnl.com/cgi/content/full/88/e5
5. Benedik J, Uchytil B, Cernosek J. Pneumopericardial tamponade after coronary artery bypass operation. Eur J Cardiothorac Surg. 2002;21(3):585-6. Review.
6. Kim YI, Goo JM, Im JG. Concurrent pneumopericardium and pneumothorax complicating lung cancer: a case report. Korean J Radiol. 2000;1(2):118-20.
7. Brandenhoff P, Hoier-Madsen K, Struve-Christensen E. Pneumopericardium after pneumonectomy and lobectomy. Thorax. 1986:41(1):55-7.
8. Stuklis RG, Weeden DF. Images in cardiothoracic surgery. Pneumopericardium after lobectomy. Ann Thorac Surg. 2001;72(6):2144.
_________________________________________________________________________________

* Trabalho realizado no departamento de Cirurgia Torácica Faculdade de Medicina da Universidade Federal do Rio de Janeiro - UFRJ - Rio de Janeiro (RJ) Brasil.
1. Doutorado em Cirurgia Torácica pela Faculdade de Medicina da Universidade Federal do Rio de Janeiro - UFRJ - Rio de Janeiro (RJ) Brasil.
2.Mestre em Medicina pela Faculdade de Medicina da Universidade Federal do Rio de Janeiro - UFRJ - Rio de Janeiro (RJ) Brasil.
3. Chefe da Divisão de Cirurgia Torácica do IDT - Faculdade de Medicina da Universidade Federal do Rio de Janeiro - UFRJ - Rio de Janeiro (RJ), Brasil.
4. Acadêmico do Curso de Medicina da Universidade Estácio de Sá -UNESA - Rio de Janeiro (RJ), Brasil.
Endereço para correspondência: Rui Haddad Av. Aquarela do Brasil 333 - Bloco 1 - Apto. 2401 - São Conrado - CEP: 22610-010 - Rio de Janeiro, RJ, Brasil
Recebido para publicação, em 27/2/05. Aprovado, após revisão, em 2/5/05.

Indexes

Development by:

© All rights reserved 2025 - Jornal Brasileiro de Pneumologia